USG kanału kręgowego

| data publikacji: 8 stycznia 2026 roku
| autorzy: lek. Andrzej Pomiećko, dr n. med. Jakub Wiśniewski

Wstęp

Ultrasonografia jest badaniem obrazowym pierwszego wyboru w ocenie kanału kręgowego noworodków i młodych niemowląt. Badanie jest bezpieczne, dostępne i nieinwazyjne –nie wymaga zastosowania promieniowania jonizującego ani sedacji, a możliwość przenoszenia aparatu pozwala na wykonanie badanie przy łóżku pacjenta. USG umożliwia dynamiczną ocenę w czasie rzeczywistym rdzenia kręgowego, ogona końskiego i nici końcowej, co jest szczególnie przydatne w wykrywaniu zakotwiczenia rdzenia kręgowego i innych dysraficznych wad wrodzonych.

U małych dzieci, do około 3-4 miesiąca życia, niecałkowicie skostniałe chrzęstne elementy tylne kręgosłupa stanowią doskonałe okno akustyczne do kanału kręgowego. Nieskostniałe wyrostki kolczyste tylne tworzą okno sonograficzne pomiędzy skostniałymi łukami kręgów, umożliwiając szczegółową wizualizację struktur wewnątrzkanałowych. Po skostnieniu elementów tylnych kręgosłupa badanie USG może być nadal wykonywane, jednak możliwość oceny jest ograniczona przez na cień akustyczny. Mimo tych ograniczeń, badanie może być przydatne w wybranych sytuacjach klinicznych, takich jak lokalizacja stożka rdzenia w celu wykluczenia zespołu zakotwiczonego rdzenia.

Skuteczne badanie USG kanału kręgowego wymaga znajomości anatomii kręgosłupa i kanału kręgowego, najczęstszych wariantów anatomicznych oraz głównych zmian patologicznych.

Technika obrazowania jest kluczowa dla powodzenia badania i została szczegółowo opisana we wspólnych praktycznych zaleceniach wydanych przez American Institute of Ultrasound in Medicine, American College of Radiology, Society of Radiologists in Ultrasound oraz Society for Pediatric Radiology.

Sprzęt i ustawienia aparatu

Do oceny kanału kręgowego noworodka stosuje się przede wszystkim głowice liniowe o wysokiej częstotliwości. Najczęściej wykorzystywane są głowice o częstotliwości w zakresie 7-12 MHz, chociaż częstotliwość wyższa niż 12 MHz może zapewnić lepszą rozdzielczość obrazu. W większości przypadków optymalne jest stosowanie głowicy liniowej 9-12 MHz lub wyższej. W wybranych przypadkach pomocna może być głowica convex o częstotliwości 8-10 MHz.

Typowa głębokość obrazowania wynosi 3-5 cm, a strefę ogniskowania ustawia się na 1,5-2,5 cm. Wzmocnienie należy dostosować tak, aby umożliwić wyraźne różnicowanie struktur wewnątrzoponowych, takich jak rdzeń kręgowy i korzenie nerwowe. Rutynowe badanie obejmuje skanowanie w płaszczyźnie strzałkowej i poprzecznej od połączenia czaszkowo-szyjnego do końca kości guzicznej, włącznie ze stożkiem rdzenia, ogonem końskim i kością guziczną.

Obrazowanie w projekcji strzałkowej (podłużnej) wykonuje się w płaszczyźnie pośrodkowej i przyśrodkowej dla zapewnienia kompleksowej oceny.

USG panoramiczne (z rozszerzonym polem widzenia) jest szczególnie pomocne przy numerowaniu kręgów i ocenie położenia poszczególnych elementów kanału kręgowego – powinno obejmować poziom od T12 do kości guzicznej na jednym obrazie.

Płaszczyzna poprzeczna umożliwia wizualizację poprzecznych przekrojów rdzenia kręgowego, korzeni nerwowych, opony twardej i tkanek miękkich.

Podkładki żelowe (gel pads) mogą być pomocne w wizualizacji struktur powierzchownych oraz ocenie zagłębień i zatok skórnych.

USG z wykorzystaniem opcji Dopplera nie jest rutynowo stosowane do oceny unaczynienia struktur kanału kręgowego, ale może być pomocne w ocenie zmian naczyniopochodnych i guzów okolicy kręgosłupa.

Przygotowanie pacjenta

Aby zmaksymalizować komfort i zminimalizować ruchomość pacjenta podczas USG kanału kręgowego, niemowlę powinno być utrzymywane w cieplenakarmione przed badaniem. Badanie zazwyczaj wykonuje się w pozycji na brzuchu. Umieszczenie małego ręcznika lub wałka pod dolną częścią brzucha może uwydatnić krzywiznę lędźwiowo-krzyżową i poszerzyć przestrzenie międzykolcowe, ułatwiając prawidłowe numerowanie trzonów kręgowych. Zgięcie w biodrach i kolanach może dodatkowo pomóc w otwarciu okna ultrasonograficznego. Szyja dziecka powinna być lekko zgięta podczas oceny połączenia czaszkowo-szyjnego.

Niemowlę z wadą powłok brzusznych, taką jak przepuklina pępowinowa lub niezoperowane wytrzewienie, może wymagać badania w pozycji leżącej na boku.

Niemowlęta zbyt niespokojne w pozycji na brzuchu mogą być trzymane na kolanach lub przy ciele opiekuna.

Technika badania

Płaszczyzna strzałkowa (podłużna)

Płaszczyzna strzałkowa (podłużna) zapewnia ogólną ocenę kręgosłupa. Obrazowanie strzałkowe wykonuje się w płaszczyźnie pośrodkowej i przyśrodkowej, uzyskując obrazy panoramiczne ułatwiające numerację kręgów.

fot. 1
Przekrój podłużny kanału kręgowego – obrazowanie panoramiczne.
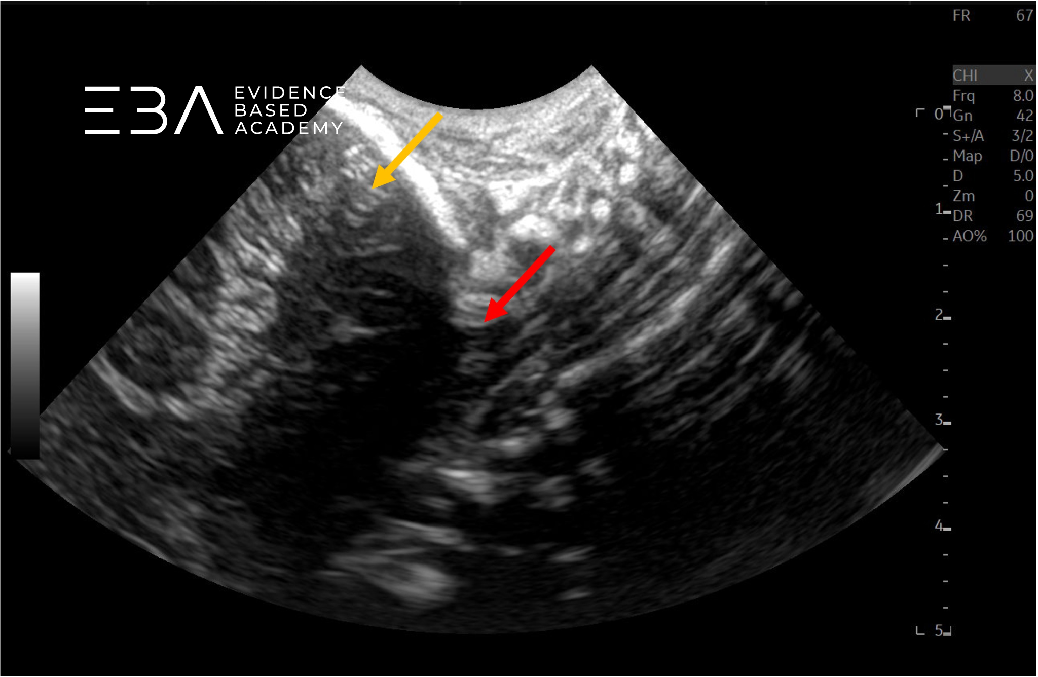
fot. 2
Przekrój podłużny kanału kręgowego w odcinku szyjnym, głowica mikrokonweksowa. Czerwoną strzałą zaznaczono rdzeń kręgowy, pomarańczową strzałą móżdżek.
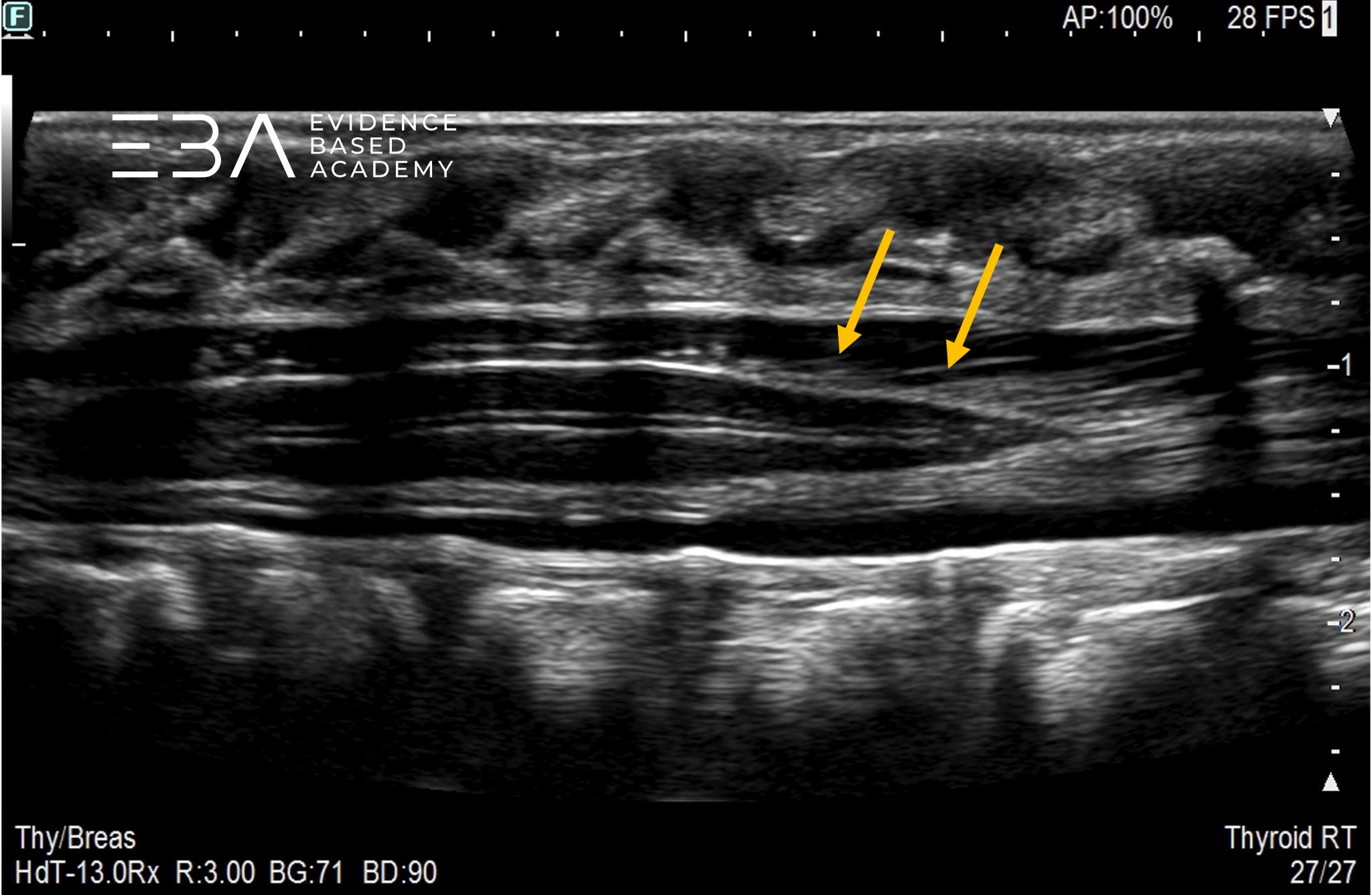
fot. 3
Przekrój podłużny kanału kręgowego w odcinku szyjnym, głowica mikrokonweksowa. Czerwoną strzałą zaznaczono otwór wielki, pomarańczową strzałą móżdżek.
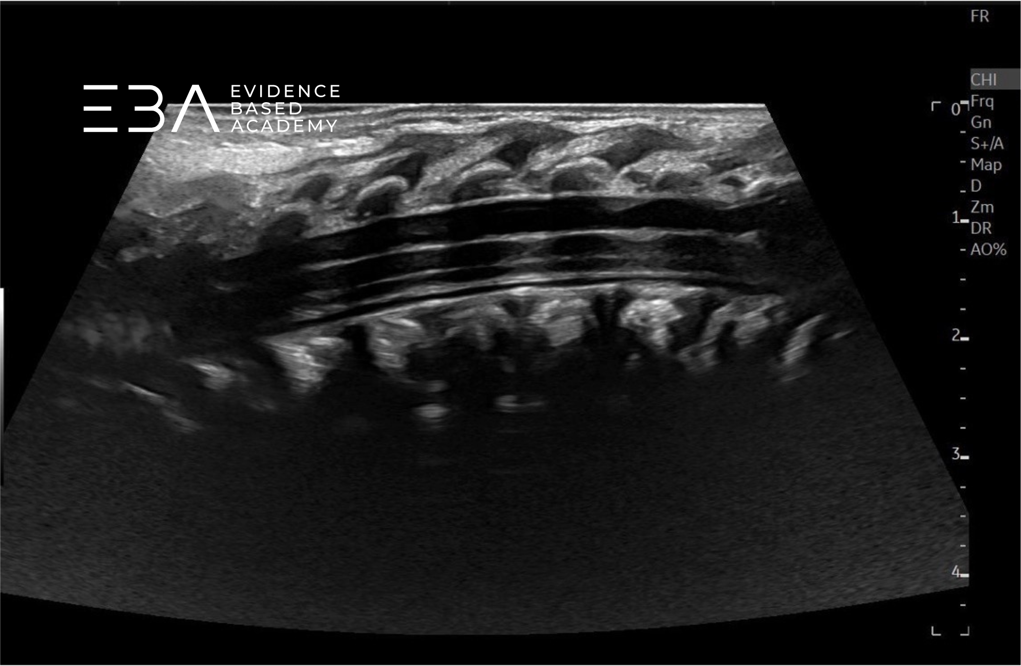
fot. 4
Przekrój podłużny przez odcinek piersiowy kanału kręgowego.
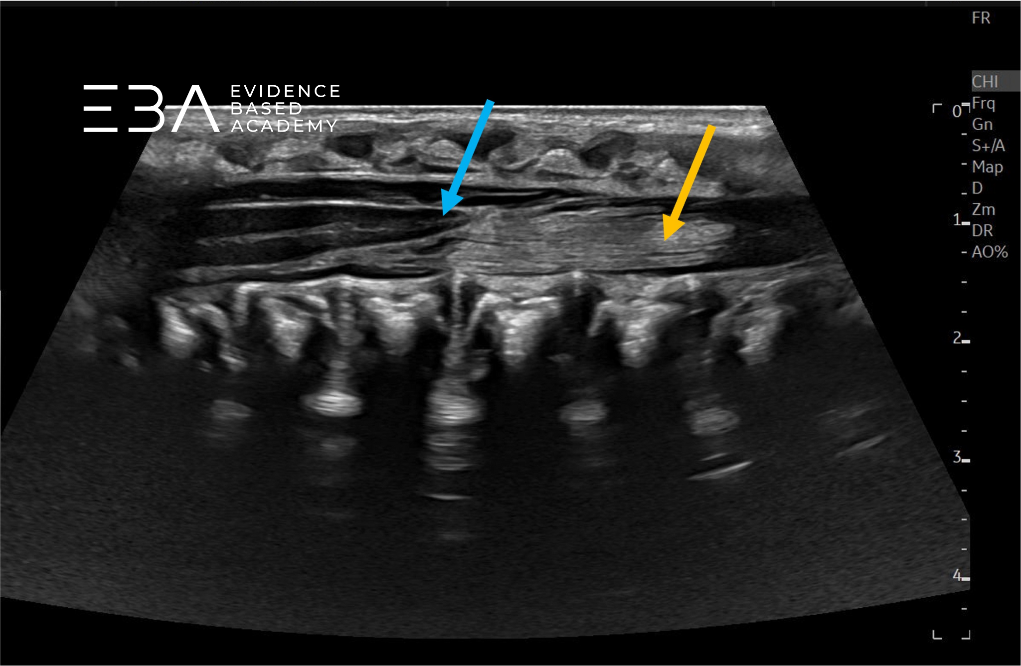
fot. 5
Kanał kręgowy, przekrój podłużny odcinka krzyżowego. Niebieską strzałką zaznaczono stożek rdzenia kręgowego, pomarańczową strzałką włókna ogona końskiego.

Płaszczyzna poprzeczna

USG w płaszczyźnie poprzecznej pozwala na ocenę poszczególnych przestrzeni międzykręgowych, obejmującą rdzeń kręgowy i korzenie nerwowe, oponę twardą oraz skórę.

fot. 6
Przekrój poprzeczny kanału kręgowego na wysokości odcinka lędźwiowego.
fot. 7
Przekrój poprzeczny kanału kręgowego na wysokości drugiego kręgu lędźwiowego (L2) widoczny jest koniec stożka rdzenia kręgowego.

Obrazowanie dynamiczne

W trakcie USG kanału kręgowego należy przeprowadzić dynamiczną ocenę ruchomości rdzenia kręgowego i korzeni nerwowych. W niektórych przypadkach pomocne może być również USG w M-mode.

Należy pamiętać, że prawidłowy, nieuwięziony rdzeń również może nie wykazywać znaczącej pulsacji przez kilku pierwszych tygodni życia, co częściowo przypisuje się zmniejszonej objętości płynu mózgowo-rdzeniowego, wynikającej z fizjologicznego odwodnienia noworodków.

Przekrój podłużny przez kanału kręgowego – widoczna ruchomość ogona końskiego.

Numerowanie kręgów i punkty orientacyjne

Lokalizacja stożka rdzenia opiera się na dokładnym numerowaniu kręgów.

Najczęstsze podejście do numeracji trzonów kręgów zaczyna się od uwidocznienia połączenia lędźwiowo-krzyżowego po zidentyfikowaniu zaokrąglonej kości guzicznej i kątowo ustawionej kości krzyżowej. Pierwszy trzon kręgu powyżej tego punktu orientacyjnego oznacza L5, kontynuując liczenie w górę dla pozostałych kręgów. Połączenie lędźwiowo-krzyżowe charakteryzuje się zmianą kąta między poziomo zorientowanymi kręgami lędźwiowymi i kręgami krzyżowymi. Pozycję stożka rdzeniowego można też potwierdzić przez liczenie kręgów w dół od żebra 12. lub liczenie dogłowowo od kręgu S5.

USG panoramiczne z rozszerzonym polem widzenia może obrazować długie odcinki kręgosłupa i znacznie ułatwia identyfikację poziomu kręgowego.

fot. 8
Przekrój podłużny kanału kręgowego – obrazowanie panoramiczne. Niebieską strzałką zaznaczono koniec stożka rdzenia kręgowego, pomarańczową strzałką zaznaczono koniec worka oponowego.
fot. 9
Przekrój podłużny kanału kręgowego – obrazowanie panoramiczne. Numeracja kręgów.

Alternatywnie, kość guziczna – która jest zaokrąglona i często nieskostniała w porównaniu z kręgami krzyżowymi – może służyć jako punkt odniesienia.

Należy jednak pamiętać, że kostnienie kości guzicznej jest zmienne – u niektórych pacjentów jest całkowicie chrzęstna i hipoechogeniczna (podobna do krążków międzykręgowych), u innych wykazuje pewien stopień kostnienia z zaokrągloną lub trójkątną morfologią. Ta zmienność stanowi pułapkę, o której należy pamiętać przy liczeniu trzonów kręgowych.

Worek oponowy zwykle kończy się na poziomie S2 i również pomaga w potwierdzeniu numerowania kręgów.

fot. 10
Kanał kręgowy, przekrój podłużny odcinka krzyżowego. Strzałką zaznaczono koniec worka oponowego.
fot. 11
Przekrój podłużny końcowego odcinka kanału kręgowego, numeracja kręgów. Niebieską strzałką zaznaczono koniec worka oponowego.

Zakres badania

Podczas USG kanału kręgowego należy ocenić następujące elementy: stożek rdzenia (zwykle na poziomie L2-3), ruchomość korzeni nerwowych, worek oponowy, nić końcowa oraz obecność zmian wewnątrzkanałowych – torbielowatych lub litych.

Prawidłowa anatomia w USG

Rdzeń kręgowy

płaszczyźnie strzałkowej (podłużnej) rdzeń kręgowy jest widoczny jako hipoechogenna, tubularna struktura z centralnym echem odpowiadającym kanałowi centralnemu.

fot. 12
Kanał kręgowy, przekrój podłużny odcinka lędźwiowego i dalszej części odcinka piersiowego. Strzałką zaznaczono echo centralne rdzenia kręgowego (kanał centralny).

płaszczyźnie poprzecznej rdzeń kręgowy jest widoczny jako okrągła (na poziomie piersiowo-lędźwiowym) lub owalna (na poziomie szyjnym) hipoechogenicza struktura, z centralnym echem w odległości około 1/3 do 1/2 między przednią a tylną ścianą kanału kręgowego.

Średnica rdzenia kręgowego jest zmienna – najszersza na poziomie szyjnym i lędźwiowym (ze względu na obecność korzeni nerwowych splotu szyjnego i lędźwiowego), a najwęższa na poziomie piersiowym. Z rdzenia kręgowego odchodzą parzyste korzenie nerwowe grzbietowe i brzuszne.

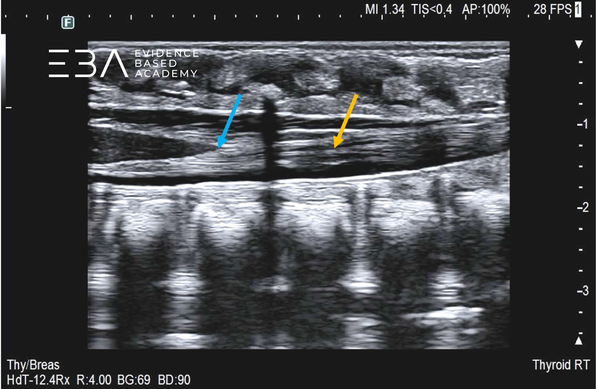
fot. 13
Kanał kręgowy, przekrój podłużny – widoczna różnica szerokości rdzenia w odcinku piersiowym (niebieska strzałka) i lędźwiowym (pomarańczowa strzałka).
fot. 14
Przekrój poprzeczny kanału kręgowego w odcinku piersiowym. Niebieską strzałką zaznaczono przestrzeń podpajęczynówkową, pomarańczową strzałką rdzeń kręgowy.
fot. 15
Przekrój poprzeczny kanału kręgowego w odcinku lędźwiowym. Niebieską strzałką zaznaczono przestrzeń podpajęczynówkową, pomarańczową strzałką rdzeń kręgowy.

Stożek rdzeniowy

Stożek rdzenia stanowi ogonowe zakończenie rdzenia kręgowego i przechodzi w nić końcową i jest otoczony korzeniami nerwowymi ogona końskiego. Lokalizacja stożka rdzenia jest jednym z kluczowych elementów badania USG kręgosłupa.

U zdrowych, donoszonych noworodków stożek rdzenia zwykle kończy się powyżej krążka międzykręgowego L2-L3 lub na poziomie górnej blaszki granicznej L3. U zdrowych dzieci stożka rdzenia widoczny jest pomiędzy trzonami kręgów L1 i L2. Stożek powinien przyjmować pozycję grawitacyjną, z prawidłową ruchomością.

Lokalizacja stożka może zmieniać się w trakcie pierwszych 3. miesięcy po porodzie. Im młodsze dziecko, tym większa szansa, że stożek rdzenia znajdować się będzie poniżej typowej lokalizacji. U tych pacjentów należy wykonać badanie kontrolne w celu udokumentowania prawidłowej lokalizacji. Badanie kontrolne zwykle wykonuje się pod koniec 3. miesiąca życia. U wcześniaków stożek rdzenia na poziomie kręgu L3 może być prawidłowy, jednak zalecana jest kontrola po osiągnięciu wieku skorygowanego (40 tygodni).

fot. 16
Kanał kręgowy, przekrój podłużny odcinka lędźwiowego i krzyżowego. Niebieską strzałką zaznaczono koniec stożka rdzenia kręgowego, pomarańczową strzałką zaznaczono włókna ogona końskiego.
fot. 17
Przekrój podłużny przez odcinek lędźwiowy kanału kręgowego.

Nić końcowa

Nić końcowa jest pasmem włóknistym rozciągającym się od stożka rdzenia do ogonowego końca kanału kręgowego, otoczonym nerwami ogona końskiego. Dystalnie od stożka rdzenia widocznych jest kilka echogenicznych linii odpowiadających nici końcowej i korzeniom nerwowym ogona końskiego.

Prawidłowa grubość nici końcowej wynosi poniżej 2 mm na poziomie L5-S1. Dokładniej, nić prawidłowa nić końcowa ma średnicę od 0,5 do 2,0 mm.

Pogrubiała nić końcowa wykazuje zwiększoną echogeniczność w porównaniu z sąsiadującymi korzeniami nerwowymi ze względu na niewielką objętość odkładającej się w niej tkanki tłuszczowej. Może to być uznane za wariant prawidłowy, jeśli grubość wynosi poniżej 2 mm.

Ogon koński i korzenie nerwowe

Nerwy ogona końskiego są zawieszone w dystalnej części worka oponowego. Korzenie nerwowe powinny unosić się w płynie mózgowo-rdzeniowym, bez przylegania do siebie nawzajem lub otaczających struktur. Układają się grawitacyjnie, pulscując wraz z akcją serca i oddechem oraz poruszając się swobodnie przy zmianach pozycji pacjenta.

Należy pamiętać, że ruchomość korzeni nerwowych ogona końskiego może być zmniejszona w pierwszych dniach życia z powodu względnego odwodnienia noworodka.

fot. 18
Kanał kręgowy, przekrój podłużny odcinka krzyżowego. Włókna ogona końskiego.

Przekrój podłużny przez kanału kręgowego – widoczna ruchomość ogona końskiego.

Przekrój podłużny przez końcowy odcinek kanału kręgowego, widoczne pulsowanie ogona końskiego.

Worek oponowy i przestrzeń podpajęczynówkowa

Worek oponowy sięga do kręgu S2 i zawiera rdzeń kręgowy, nić końcową oraz ogon koński, otoczone bezechową przestrzenią podpajęczynówkową wypełnioną płynem mózgowo-rdzeniowym. Przestrzeń podpajęczynówkowa jest przerywana przez hiperechogenne liniowe korzenie nerwowe oraz więzadła zębate.

Granica worka oponowego stanowi echogeniczne połączenie między oponą twardą a pajęczynówką, widoczne jako równoległe linie na obrazach podłużnych i koncentryczne linie na obrazach poprzecznych. Przestrzeń podtwardówkowa jest przestrzenią potencjalną między tymi warstwami, niewidoczną przy braku płynu lub krwi. Tłuszcz nadtwardówkowy znajduje się grzbietowo i brzusznie względem granicy opony twardej.

fot. 19
Kanał kręgowy, przekrój podłużny odcinka krzyżowego. W bezechowej przestrzeni podpajęczynówkowej widoczne są echogeniczne pasma włókien nerwowych (strzałki).
Piśmiennictwo
  1. Gupta N, Hiremath SB, Gauthier I, Wilson N, Miller E. Pediatric Spine Ultrasound: Comprehensive Review and Systematic Approach. Can Assoc Radiol J. 2025 Nov;76(4):750-761. doi: 10.1177/08465371251327867. Epub 2025 Mar 31. PMID: 40165030.
  2. Rees MA, Squires JH, Coley BD, Hoehne B, Ho ML. Ultrasound of congenital spine anomalies. Pediatr Radiol. 2021 Dec;51(13):2442-2457. doi: 10.1007/s00247-021-05178-6. Epub 2021 Sep 16. PMID: 34532816.
  3. Tuite GF, Thompson DNP, Austin PF, Bauer SB. Evaluation and management of tethered cord syndrome in occult spinal dysraphism: Recommendations from the international children’s continence society. Neurourol Urodyn. 2018 Mar;37(3):890-903. doi: 10.1002/nau.23382. Epub 2017 Aug 9. PMID: 28792087.
  4. Kucera JN, Coley I, O’Hara S, Kosnik EJ, Coley BD. The simple sacral dimple: diagnostic yield of ultrasound in neonates. Pediatr Radiol. 2015 Feb;45(2):211-6. doi: 10.1007/s00247-014-3110-1. Epub 2014 Jul 5. PMID: 24996813.
  5. Balani A, Sidpra J, Sudhakar S, Biswas A, Öztekin Ö, Capra V, Catala M, Copp AJ, Kumar N, Johal N, Tahir MZ, Thompson D, Pang D, Mirsky DM, Ho ML, Huisman TAGM, Rossi A, Mankad K. International Consensus Statement on the Radiological Evaluation of Dysraphic Malformations of the Spine and Spinal Cord. AJNR Am J Neuroradiol. 2024 Feb 15;45(6):673–80. doi: 10.3174/ajnr.A8117. Epub ahead of print. PMID: 38360788; PMCID: PMC11288609.
  6. Fitzgerald K. Ultrasound examination of the neonatal spine. Australas J Ultrasound Med. 2011 Feb;14(1):39-41. doi: 10.1002/j.2205-0140.2011.tb00186.x. Epub 2015 Dec 31. PMID: 28191104; PMCID: PMC5024886.
  7. Vrionis A, Sparks C, Meyer D, Kucera JN. Neonatal spine ultrasound: a pictorial review of indications, anatomy, abnormalities, and variants. J Radiol Nurs. 2024;43(2):116-121.
  8. Unsinn KM, Geley T, Freund MC, Gassner I. US of the spinal cord in newborns: spectrum of normal findings, variants, congenital anomalies, and acquired diseases. Radiographics. 2000 Jul-Aug;20(4):923-38. doi: 10.1148/radiographics.20.4.g00jl06923. PMID: 10903684.
  9. Lowe LH, Johanek AJ, Moore CW. Sonography of the neonatal spine: part 1, Normal anatomy, imaging pitfalls, and variations that may simulate disorders. AJR Am J Roentgenol. 2007 Mar;188(3):733-8. doi: 10.2214/AJR.05.2159. PMID: 17312061.
  10. Inarejos Clemente EJ, Navallas Irujo M, Navarro OM, Salas Flores B, Sousa Cacheiro P, Ladera E, Rebollo Polo M, Tijerín Bueno M, Barber Martínez de la Torre I. US of the Spine in Neonates and Infants: A Practical Guide. Radiographics. 2023 Jun;43(6):e220136. doi: 10.1148/rg.220136. PMID: 37141137.
  11. AIUM Practice Parameter for the Performance of an Ultrasound Examination of the Neonatal and Infant Spine. J Ultrasound Med. 2016 Sep;35(9):1-11. doi: 10.7863/ultra.35.9.1-b. PMID: 27574123.
  12. The AIUM Practice Parameter for the Performance of an Ultrasound Examination of the Neonatal and Infant Spine. J Ultrasound Med. 2022 Apr;41(4):E9-E15. doi: 10.1002/jum.15875. Epub 2021 Nov 18. PMID: 34792215.
  13. Valente I, Pedicelli A, Piacentini M, Di Serafino M, Vallone G, Speca S, Colosimo C. Spinal cord ultrasonography of the newborn. J Ultrasound. 2019 Jun;22(2):113-119. doi: 10.1007/s40477-018-0345-y. Epub 2018 Dec 7. PMID: 30535560; PMCID: PMC6531522.
  14. Kangarloo H, Gold RH, Diament MJ, Boechat MI, Barrett C. High-resolution spinal sonography in infants. AJR Am J Roentgenol. 1984 Jun;142(6):1243-7. doi: 10.2214/ajr.142.6.1243. PMID: 6372417.
  15. Kocaoglu M, Frush DP. Pediatric presacral masses. Radiographics. 2006 May-Jun;26(3):833-57. doi: 10.1148/rg.263055102. PMID: 16702458.
  16. Sacco A, Ushakov F, Thompson D, Peebles D, Pandya P, De Coppi P, Wimalasundera R, Attilakos G, David AL, Deprest J. Fetal surgery for open spina bifida. Obstet Gynaecol. 2019 Oct;21(4):271-282. doi: 10.1111/tog.12603. Epub 2019 Sep 27. PMID: 31787844; PMCID: PMC6876677.
  17. Patterson S. Sonographic assessment of the neonatal spine and the potential for new technologies to aid in diagnoses. J Diagn Med Sonogr. 2009;25(1):4-22.
  18. Beek FJ, de Vries LS, Gerards LJ, Mali WP. Sonographic determination of the position of the conus medullaris in premature and term infants. Neuroradiology. 1996 May;38 Suppl 1:S174-7. doi: 10.1007/BF02278151. PMID: 8811708.
  19. Nair N, Sreenivas M, Gupta AK, Kandasamy D, Jana M. Neonatal and infantile spinal sonography: A useful investigation often underutilized. Indian J Radiol Imaging. 2016 Oct-Dec;26(4):493-501. doi: 10.4103/0971-3026.195788. PMID: 28104945; PMCID: PMC5201081.
  20. Irani N, Goud AR, Lowe LH. Isolated filar cyst on lumbar spine sonography in infants: a case-control study. Pediatr Radiol. 2006 Dec;36(12):1283-8. doi: 10.1007/s00247-006-0317-9. Epub 2006 Oct 6. PMID: 17024492.
  21. Lowe LH, Johanek AJ, Moore CW. Sonography of the neonatal spine: part 2, Spinal disorders. AJR Am J Roentgenol. 2007 Mar;188(3):739-44. doi: 10.2214/AJR.05.2160. PMID: 17312062.
  22. Meyers AB, Chandra T, Epelman M. Sonographic spinal imaging of normal anatomy, pathology and magnetic growing rods in children. Pediatr Radiol. 2017 Aug;47(9):1046-1057. doi: 10.1007/s00247-017-3845-6. Epub 2017 Aug 4. PMID: 28779192.
  23. Choi SJ, Yoon HM, Hwang JS, Suh CH, Jung AY, Cho YA, Lee JS. Incidence of Occult Spinal Dysraphism Among Infants With Cutaneous Stigmata and Proportion Managed With Neurosurgery: A Systematic Review and Meta-analysis. JAMA Netw Open. 2020 Jul 1;3(7):e207221. doi: 10.1001/jamanetworkopen.2020.7221. PMID: 32614421; PMCID: PMC7333023.
  24. Alvarado E, Leach J, Caré M, Mangano F, O Hara S. Pediatric Spinal Ultrasound: Neonatal and Intraoperative Applications. Semin Ultrasound CT MR. 2017 Apr;38(2):126-142. doi: 10.1053/j.sult.2016.07.003. Epub 2016 Jul 12. PMID: 28347416.
  25. DiPietro MA. The conus medullaris: normal US findings throughout childhood. Radiology. 1993 Jul;188(1):149-53. doi: 10.1148/radiology.188.1.8511289. PMID: 8511289.
  26. Soleiman J, Demaerel P, Rocher S, Maes F, Marchal G. Magnetic resonance imaging study of the level of termination of the conus medullaris and the thecal sac: influence of age and gender. Spine (Phila Pa 1976). 2005 Aug 15;30(16):1875-80. doi: 10.1097/01.brs.0000174116.74775.2e. PMID: 16103859.
  27. Kesler H, Dias MS, Kalapos P. Termination of the normal conus medullaris in children: a whole-spine magnetic resonance imaging study. Neurosurg Focus. 2007;23(2):E7. doi: 10.3171/FOC-07/08/E7. PMID: 17961006.
  28. Keykhosravi E, Faravani E, Dehghani Dashtabi S, Emadzadeh M, Alamdaran SA, Aminzadeh B. Comparison of Ultrasonographic Findings between Patients with Tethered Cord Syndrome and Healthy Children. Iran J Med Sci. 2023 Mar;48(2):130-136. doi: 10.30476/IJMS.2022.93848.2517. PMID: 36895465; PMCID: PMC9989241.
  29. Sun M, Tao B, Gao G, Wang H, Shang A. Determination of the normal conus medullaris level in term infants: the role of MRI in early infancy. J Neurosurg Pediatr. 2021 Oct 15;29(1):100-105. doi: 10.3171/2021.7.PEDS21284. PMID: 34653991.
  30. Lei T, Xie HN, Zheng J, Feng JL, Du L, Wang N. Prenatal evaluation of the conus medullaris position in normal fetuses and fetuses with spina bifida occulta using three-dimensional ultrasonography. Prenat Diagn. 2014 Jun;34(6):564-9. doi: 10.1002/pd.4349. Epub 2014 Mar 18. PMID: 24604267.
  31. Rozzelle CJ, Reed GT, Kirkman JL, Shannon CN, Chern JJ, Wellons JC 3rd, Tubbs RS. Sonographic determination of normal Conus Medullaris level and ascent in early infancy. Childs Nerv Syst. 2014 Apr;30(4):655-8. doi: 10.1007/s00381-013-2310-6. Epub 2013 Nov 1. PMID: 24178234.
  32. Thakur NH, Lowe LH. Borderline low conus medullaris on infant lumbar sonography: what is the clinical outcome and the role of neuroimaging follow-up? Pediatr Radiol. 2011 Apr;41(4):483-7. doi: 10.1007/s00247-010-1889-y. Epub 2010 Nov 16. PMID: 21079942.

Autorzy
Picture of Lek. Andrzej Pomiećko

Lek. Andrzej Pomiećko

Jestem absolwentem Wydziału Lekarskiego Gdańskiego Uniwersytetu Medycznego. W 2022 ukończyłem szkolenie specjalizacyjne w dziedzinie pediatrii w Klinice Pediatrii, Hematologii i Onkologii Uniwersyteckiego Centrum Klinicznego w Gdańsku...

Picture of Dr n. med. Jakub Wiśniewski

Dr n. med. Jakub Wiśniewski

Jestem absolwentem Wydziału Lekarskiego i Studiów Doktoranckich Gdańskiego Uniwersytetu Medycznego. W 2015 roku uzyskałem tytułu specjalisty z dziedziny pediatrii, a w 2016 roku stopień doktora nauk medycznych...

Przeczytaj więcej
Technika badania i anatomia ultrasonograficzna ślinianek​
| data publikacji: 19 listopada 2025 roku | autor: dr n. med. Jakub Wiśniewski, lek. Andrzej Pomiećko |
Czytaj dalej
error: Treść podlega prawom autorskim.