Tarczyca - obraz prawidłowy i technika badania

| data publikacji: 6 marca 2026 roku
| autorzy: dr n. med. Błażej Littwin

Wstęp

Ultrasonografia jest badaniem obrazowym pierwszego wyboru w ocenie tarczycy u dzieci. Badanie jest bezpieczne, nieinwazyjne i powszechnie dostępne – nie wymaga sedacji ani specjalnego przygotowania pacjenta. Powierzchowne położenie gruczołu sprawia, że USG pozwala na uzyskanie obrazów o wysokiej rozdzielczości, umożliwiając szczegółową ocenę miąższu, unaczynienia i ewentualnych zmian ogniskowych.

Tarczyca jest jednym z większych gruczołów dokrewnych, pełniącym kluczową rolę w prawidłowym rozwoju i dojrzewaniu dziecka. Zbudowana jest z dwóch płatów połączonych ze sobą cieśnią i otoczona od zewnątrz torebką łącznotkankową. Wielkość tarczycy rośnie wraz z wiekiem – całkowita masa gruczołu u noworodka wynosi około 1,5 g, a u pacjentów dorosłych waha się w granicach 15-30 g.

Przygotowanie pacjenta

Badania pacjentów pediatrycznych wymagają od nas dużej “elastyczności” w podejściu do pacjenta. Za każdym razem powinniśmy zapewnić dziecku i rodzicowi jak największy komfort w czasie badania. Właściwa pozycja pacjenta do badania to pozycja leżąca na plecach z głową lekko odgiętą do tyłu.

Standardowa pozycja pacjenta do badania USG tarczycy.

W przypadku ograniczonej współpracy pacjenta możemy poprosić rodzica o położenie się na kozetce i ułożenie dziecka na sobie w taki sposób, aby głowa dziecka znajdowała się na wysokości klatki piersiowej rodzica i była lekko odgięta do tyłu. Podczas badania noworodków i niemowląt podłożenie dłoni pod barki dziecka i lekkie uniesienie ich do góry pozwoli na kontrolowane odgięcie głowy i poprawi dostęp do badanej okolicy. Możemy użyć sformułowania: „proszę ułożyć dziecko tak jak w kąpieli do spłukiwania głowy” – ta wskazówka powinna być zrozumiała dla każdego rodzica 😉

Alternatywne ułożenie dziecka – na rodzicu oraz z ręką pod barkami.
Sprzęt i ustawienia aparatu

Do oceny tarczycy, ze względu na powierzchowne położenie, wykorzystywane są przede wszystkim głowice liniowe o wysokiej częstotliwości, pozwalające uzyskać wysoką rozdzielczość obrazu. Rekomendowane są głowice o częstotliwości 7-14 MHz i wyższej (18 MHz).

Głowice liniowe.

Szczególnym rodzajem głowicy liniowej przydatnym w ocenie niemowląt i noworodków jest głowica hokejowa – ze względu na małą powierzchnię czoła głowicy daje możliwość manewrowania na stosunkowo małej powierzchni szyi.

Głowica hokejowa.

W przypadku pacjentów otyłych lub wola guzkowego przydatne mogą być inne typy głowic dysponujące niższą częstotliwością, takie jak głowice konweksowemikrokonweksowe oraz niekiedy głowice sektorowe (głównie do oceny wielkości gruczołu).

Inne rodzaje głowic – konweksowa, mikrokonweksowa, sektorowa.

Po właściwym ułożeniu pacjenta i wyborze głowicy musimy dobrać odpowiedni Preset do badania. Rekomendowany jest preset „Thyroid”, niemniej pomocne mogą okazać się inne presety stworzone do obrazowania narządów powierzchownych np. „Superficial”, „Breast”. W przypadku znacznego powiększenia tarczycy lub nadmiernie rozwiniętej tkanki podskórnej możemy wykorzystać preset „Abdominal”, dzięki któremu lepiej uwidocznimy struktury położone głęboko.

Ekran aparatu z dostępnymi presetami.

Wstępnej optymalizacji obrazu dokonujemy za pomocą trzech podstawowych funkcji aparatu – Gain (Wzmocnienie), Depth (Głębokość) i Focus (Ogniskowa). Jasność obrazu ustawiamy tak, aby zachować jak najlepszy kontrast pomiędzy miąższem tarczycy a strukturami otaczającymi. Głębokość (Depth) powinniśmy dobrać w sposób umożliwiający ocenę grzbietowego zarysu tarczycy wraz ze strukturami bezpośrednio do niej przylegającymi. Ogniskową (Focus) ustawiamy na poziomie jej grzbietowego zarysu w celu pełnej oceny miąższu. W sytuacji, gdy uwidocznimy zmianę ogniskową i chcemy dokonać jej właściwej oceny, Focus ustawiamy na głębokości zmiany.

Właściwe ustawienie Gain.
Właściwe ustawienie Depth.
Właściwe ustawienie Focus.

Przydatną opcją podczas badania tarczycy głowicą liniową jest opcja tzw. Szerokiego obrazowania (Trapezoidal Imaging, WideScan, ExFoV itp.). Dzięki specyficznej emisji wiązki z bocznych przetworników głowicy uzyskujemy szersze pole widzenia, przypominające to z głowicy konweksowej.

Porównanie obrazu bez trapezoidu i z trapezoidem.
Technika badania

Skanowanie w linii pośrodkowej

Badanie USG tarczycy zaczynamy od dokładnej oceny struktur szyi położonych w linii pośrodkowej ciała oraz w jej okolicy. Głowicę przykładamy w przekroju poprzecznym w okolicy podbródkowej, a następnie przesuwamy ją do poziomu wlotu do śródpiersia.

Skanowanie linii pośrodkowej.

Struktury, które musimy zidentyfikować i ocenić, to: język, ślinianki podjęzykowe, kość gnykowa, mięsień mostkowo-obojczykowo-sutkowy (MOS) oraz grasica. Jest to istotna część badania tarczycy, ponieważ pozwala nam na wykrycie potencjalnych wad rozwojowych oraz wariantów anatomicznych związanych z rozwojem tarczycy i innych narządów szyi.

Okolica podbródkowa z podpisami struktur.
Okolica kości gnykowej – projekcja poprzeczna i podłużna.
Okolica kości gnykowej – projekcja poprzeczna i podłużna.
Mięsień MOS w projekcji poprzecznej i podłużnej z zaznaczonymi węzłami chłonnymi.
Mięsień MOS w projekcji poprzecznej i podłużnej z zaznaczonymi węzłami chłonnymi.
Grasica w skanie poprzecznym z podpisami żył ramienno-głowowych.

Ważnym narządem jest również ślinianka podżuchwowa, ponieważ jej obraz możemy wykorzystać do oceny porównawczej z obrazem miąższu tarczycy. Aby ją uwidocznić, głowicę przykładamy równolegle do trzonu żuchwy bezpośrednio pod nim. W warunkach prawidłowych echogeniczność ślinianki podżuchwowej jest zbliżona do echogeniczności prawidłowego miąższu tarczycy.

Chcesz dowiedzieć się więcej o ultrasonografii ślinianek? Przeczytaj nasz artykuł.

Ślinianka podżuchwowa.

Skanowanie płatów tarczycy i cieśni

Po identyfikacji struktur w linii pośrodkowej przechodzimy do obrazowania tarczycy. Każdy z płatów skanujemy osobno w projekcjach poprzecznejpodłużnej, a następnie oceniamy cieśń.

Najczęściej zaczynamy od oceny prawego płata tarczycy. Głowicę przykładamy poprzecznie nad płatem i przesuwamy ją dogłowowo, aż górny biegun zniknie z obrazu. Następnie, nie zmieniając przyłożenia, przesuwamy głowicę doogonowo (kaudalnie) przez całą długość płata.

Skanowanie poprzeczne płata tarczycy.

Po przeskanowaniu płata w projekcji poprzecznej przesuwamy głowicę nad jego środkową część i obracamy ją zgodnie z ruchem wskazówek zegara, kierując znacznik w stronę głowy. Celem jest uzyskanie najdłuższego przekroju płata, czyli jego projekcji podłużnej.

Warto pamiętać, że oba płaty tarczycy ułożone są skośnie w stosunku do osi długiej ciała i razem tworzą kształt litery „V”.

Rotacja głowicy.

Schemat rotacji głowicy.

Po uzyskaniu właściwej projekcji podłużnej przechodzimy do skanowania płata w jego osi długiej. Możemy to zrobić na dwa sposoby. Pierwszy polega na przesuwaniu głowicy bocznie i przyśrodkowo, bez zmiany kąta przyłożenia głowicy do skóry.

Skanowanie płata w osi długiej ruchem przesuwania.

Drugi sposób, częściej wykorzystywany w pediatrii, to ruch wahadłowy – głowica pozostaje w jednym miejscu, a my zmieniamy jedynie kąt jej przyłożenia, pochylając ją bocznie i przyśrodkowo.

Skanowanie płata w osi długiej ruchem wahadłowym.

Lewy płat tarczycy oceniamy analogicznie. Cieśń oceniamy w linii pośrodkowej – tak jak na początku badania.

Obraz prawidłowy tarczycy

Wykonując USG tarczycy wykorzystujemy obrazowanie w skali szarości (B-Mode) oraz opcje dopplerowskie (color Doppler, power Doppler). W dodatkowej ocenie zmian ogniskowych pomocna może być również sonoelastografia.

Obraz tarczycy w B-Mode, Color Doppler i elastografii.

Topografia

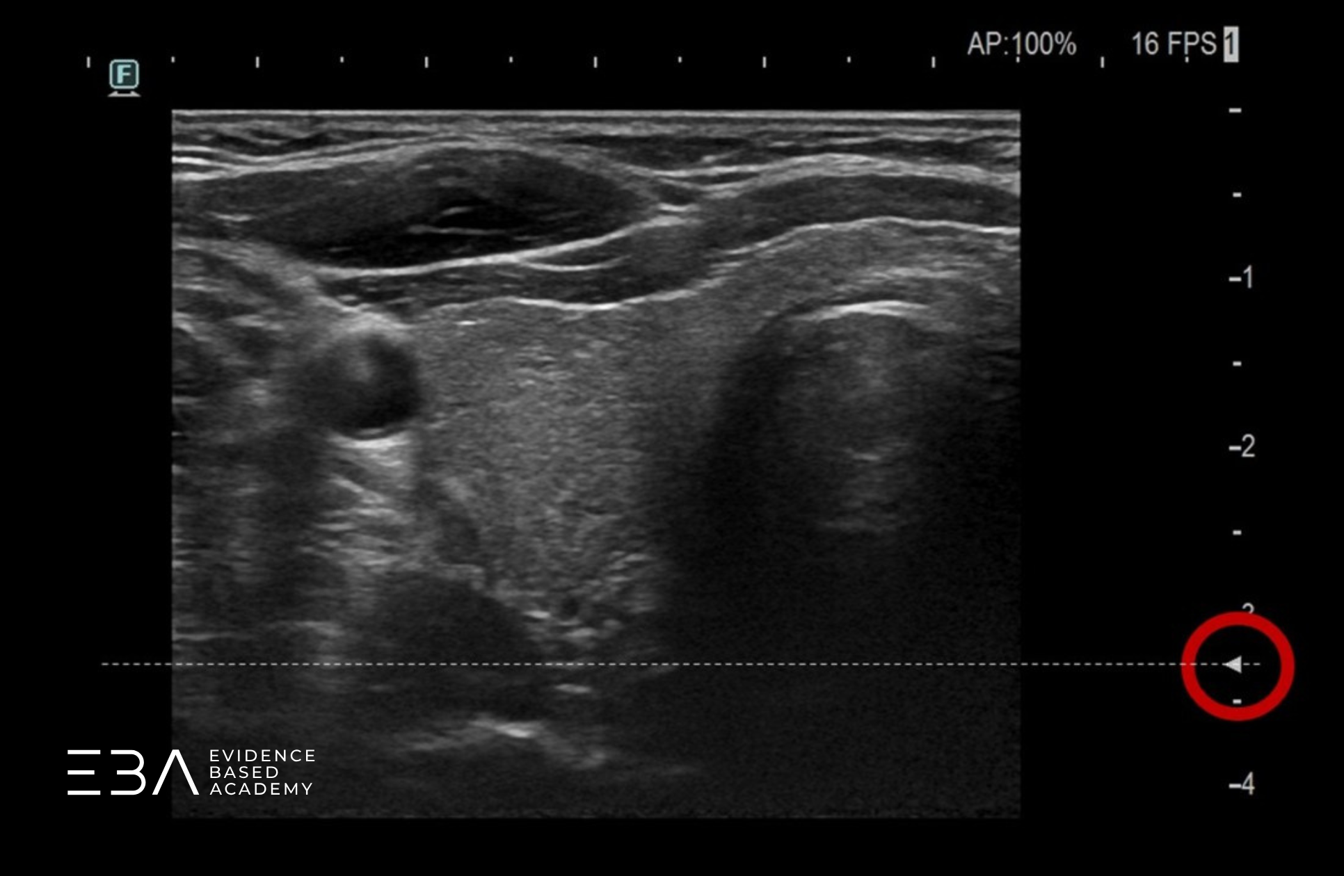
Ocenę miąższu tarczycy rozpoczynamy w projekcji poprzecznej, przykładając głowicę nieco poniżej krtani. Pamiętamy o właściwej pozycji znacznika na ekranie (po stronie naszej lewej ręki). Na tak uzyskanym obrazie po lewej stronie widzimy prawy płat tarczycy, pośrodkowo – cieśń, a po prawej stronie – płat lewy.

Przyłożenie głowicy poprzecznie pośrodkowo.

Skupiając się na jednym z płatów w przekroju poprzecznym, możemy podzielić go na części: brzuszną (przednią), grzbietową (tylną), boczną (przynaczyniową) oraz przyśrodkową (przytchawiczą).

Projekcja poprzeczna z podpisami omawianych struktur.

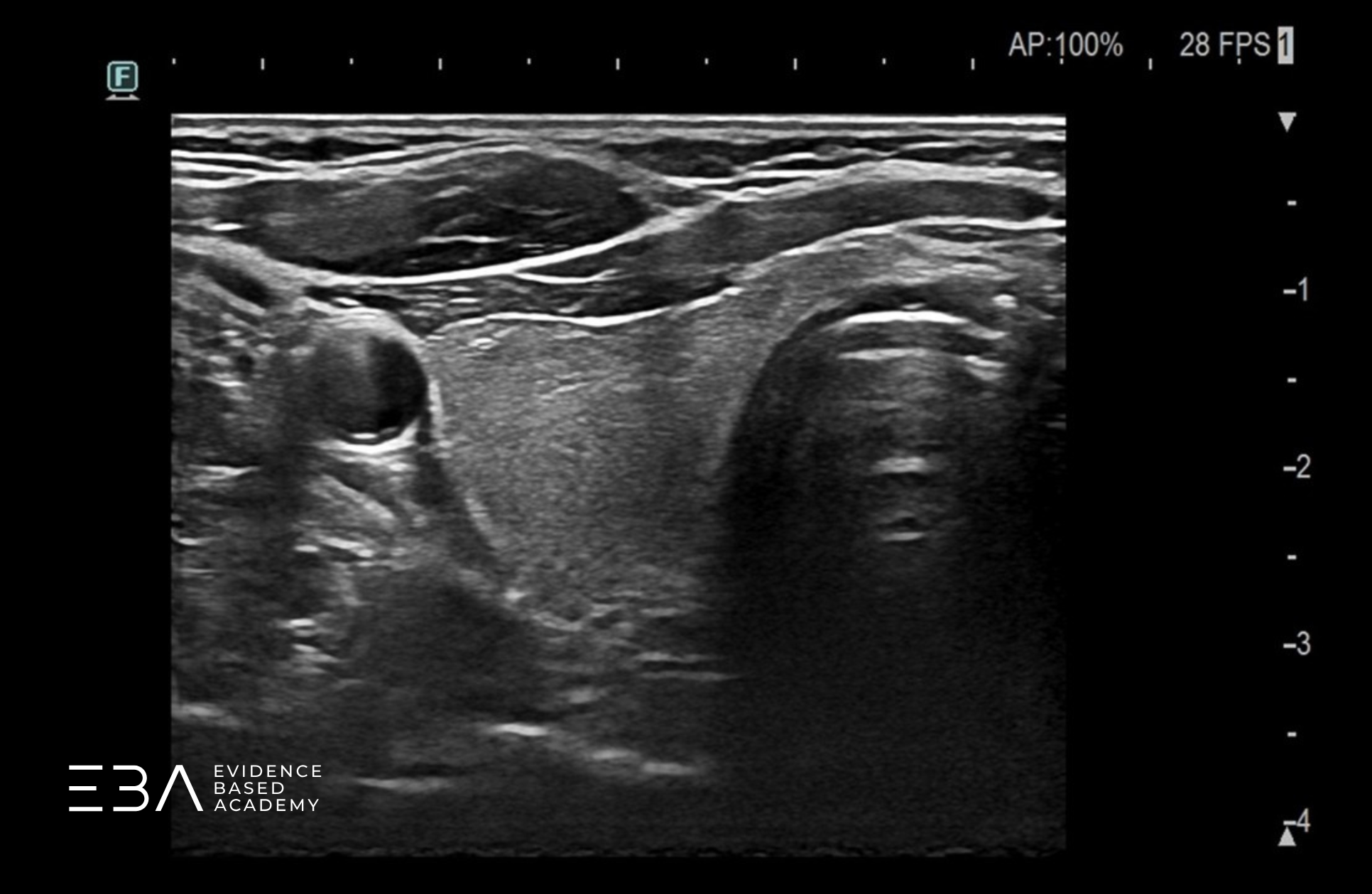
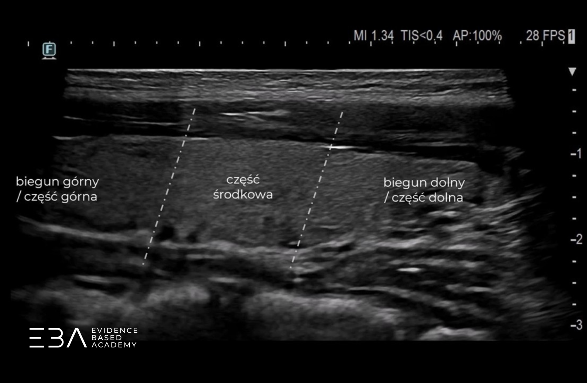
W projekcji podłużnej możemy podzielić płat na trzy części. Po lewej stronie obrazu (po stronie znacznika) widoczna jest część górna (inaczej biegun górny), na środku – część środkowa, a po prawej stronie obrazu – część dolna (inaczej biegun dolny).

Projekcja podłużna z podpisami części płata.

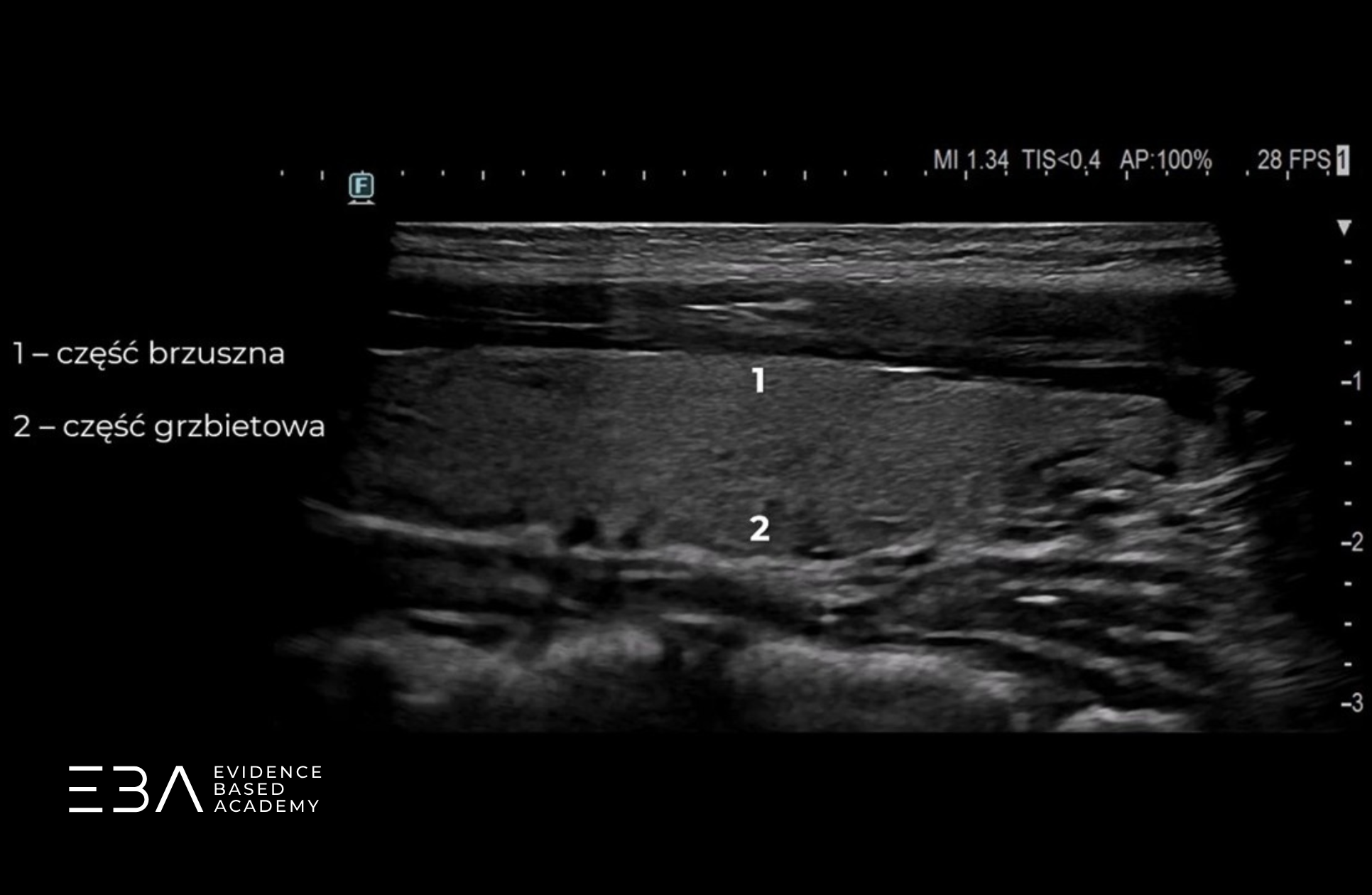
W projekcji podłużnej możemy również wyodrębnić część przednią, bliższą czoła głowicy (część brzuszną) oraz część tylną (grzbietową). Podział tarczycy na poszczególne części jest orientacyjny i służy głównie do opisu lokalizacji zmian ogniskowych widocznych wewnątrz tarczycy lub w jej okolicy.

Projekcja podłużna z podpisami zarysu przedniego i tylnego.

Poza znajomością prawidłowej anatomii tarczycy ważna jest również wiedza na temat jej otoczenia. Na poniższym schemacie oznaczyliśmy struktury sąsiadujące z tarczycą.

Schemat prawego płata z podpisami otaczających struktur.

Warto zwrócić uwagę na strukturę położoną grzbietowo do tarczycy, zwykle po lewej stronie szyi. Przełyk, bo o nim mowa, w projekcji poprzecznej może początkowo imitować zmianę ogniskową. Zmiana projekcji na podłużną pozwala uwidocznić jego charakterystyczny kształt i rozwiać wątpliwości.

Przełyk w projekcji poprzecznej i podłużnej.

Ogólna charakterystyka

W kolejnym kroku przechodzimy do oceny miąższu tarczycy. Zaczynamy od analizy zarysu torebki, następnie określamy echogeniczność, echostrukturę, unaczynienie i wymiary, a na końcu przechodzimy do oceny zmian ogniskowych, jeśli są obecne. Taki schemat pozwala nie pominąć żadnego z elementów badania – w myśl zasady „od ogółu do szczegółu”.

Torebka tarczycy w warunkach prawidłowych widoczna jest jako hiperechogeniczna, cienka linia oddzielająca miąższ tarczycy od struktur otaczających. Jej zarys jest gładki i regularny, możliwy do prześledzenia w każdej części tarczycy.

Torebka tarczycy.

Echogeniczność

Echogeniczność miąższu tarczycy oceniamy względem echogeniczności otaczających ją mięśni (mięśni podgnykowych i MOS). Prawidłowa echogeniczność miąższu tarczycy jest wyższa od echogeniczności otaczających mięśni i jest taka sama w każdej jej części.

W przypadku wątpliwości tarczycę porównujemy ze ślinianką podżuchwową – echogeniczność obu tych narządów powinna być do siebie zbliżona.

Echogeniczność tarczycy w porównaniu do mięśni.

Echostruktura

Prawidłowa echostruktura miąższu tarczycy jest jednorodna. Oznacza to, że w dowolnym przekroju struktura miąższu jest taka sama. Ocena echostruktury polega na porównaniu różnych części tarczycy ze sobą.

Porównanie echostruktury niejednorodnej i jednorodnonej.

Unaczynienie

Istotnym elementem badania USG tarczycy jest ocena jej unaczynienia. Podstawową opcją dopplerowską wykorzystywaną w tym celu jest Color Doppler. Rekomendowane wartości PRF (Scale) mieszczą się w zakresie 2-5 cm/s, natomiast wzmocnienie (Czułość Dopplera) ustawione jest możliwie jak najwyżej (na tzw. granicy szumu). W większości przypadków wykorzystując preset „Thyroid” obie te wartości ustawione są optymalnie.

W warunkach prawidłowych unaczynienie tarczycy jest skąpe – na obrazie widoczne są głównie naczynia położone obwodowo (podtorebkowo) i pojedyncze drobne naczynia w środkowej części płata.

Dla porównania – u pacjentów z zapaleniem autoimmunizacyjnym tarczycy zwykle dochodzi do wzmożenia przepływu w miąższu. Unaczynienie jest wówczas bogate i widoczne we wszystkich częściach płata.

Porównanie prawidłowego przepływu (po prawej) i wzmożonego (po lewej).

Pomiary

Podstawową częścią badania USG tarczycy jest określenie jej wymiarów. Każdorazowo powinniśmy zmierzyć prawy i lewy płat tarczycy w obu projekcjach – poprzecznej i podłużnej – oraz określić grubość cieśni w przekroju poprzecznym.

Pomiar w przekroju poprzecznym

Skanując płat w projekcji poprzecznej, wybieramy to miejsce, w którym jego przekrój jest największy. Zatrzymujemy obraz i wyznaczamy dwie odległości.

Pierwsza to szerokość płata (wymiar dwuboczny) – linia prowadzona równolegle do czoła głowicy, od bocznego do przyśrodkowego zarysu płata.

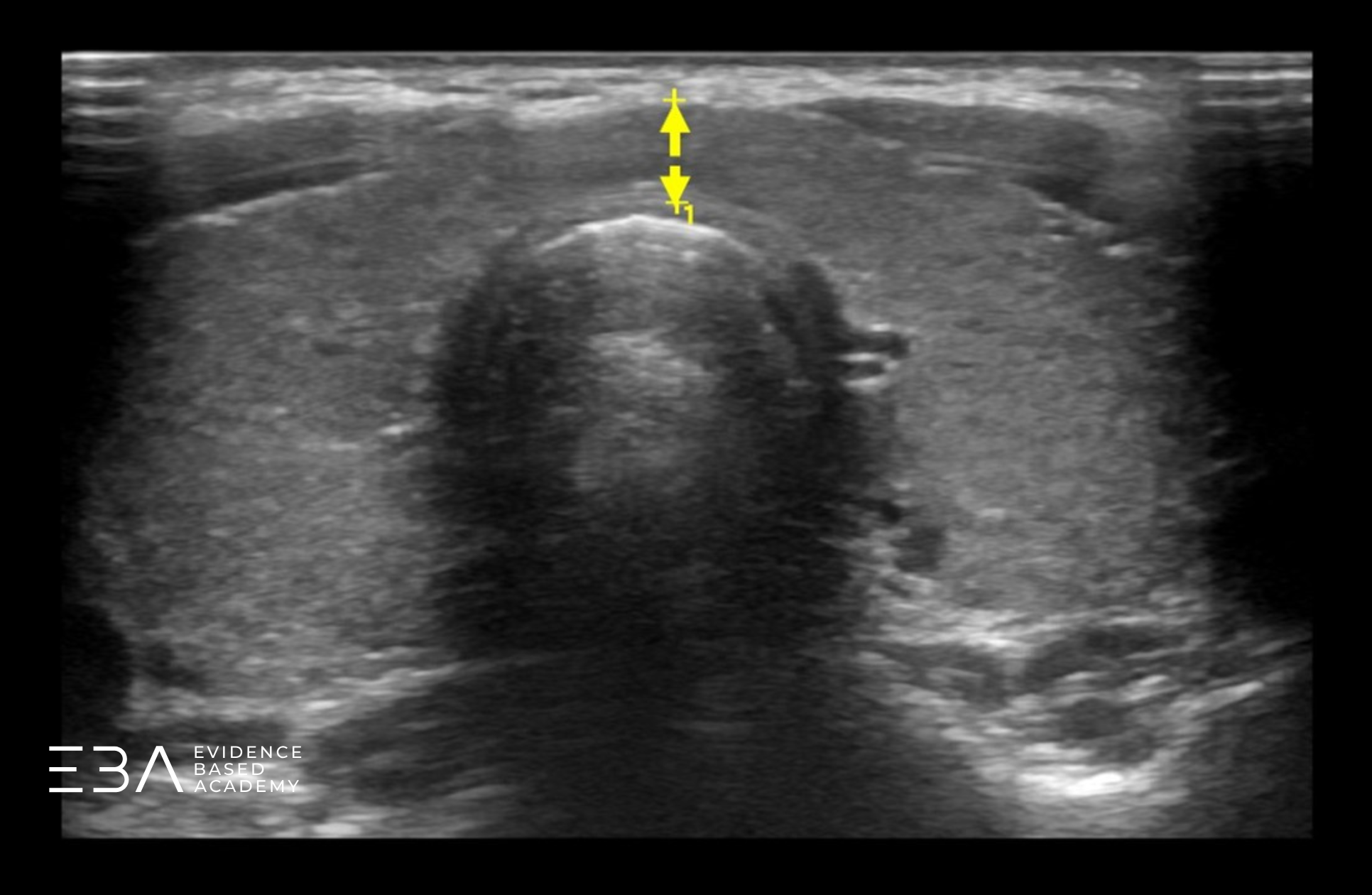
Następnie wykonujemy pomiar grubości płata, czyli jego wymiaru przednio-tylnego (anterior-posterior, AP). Początek tego wymiaru umieszczamy na grzbietowym zarysie płata w miejscu najniżej położonym na ekranie, po czym wyznaczamy linię prostopadłą względem wymiaru dwubocznego, do granicy przedniego (brzusznego) zarysu torebki.

Pomiar grubości i szerokości płata prawego w przekroju poprzecznym. Dodatkowo pomiar grubości cieśni.

Pomiar w przekroju podłużnym

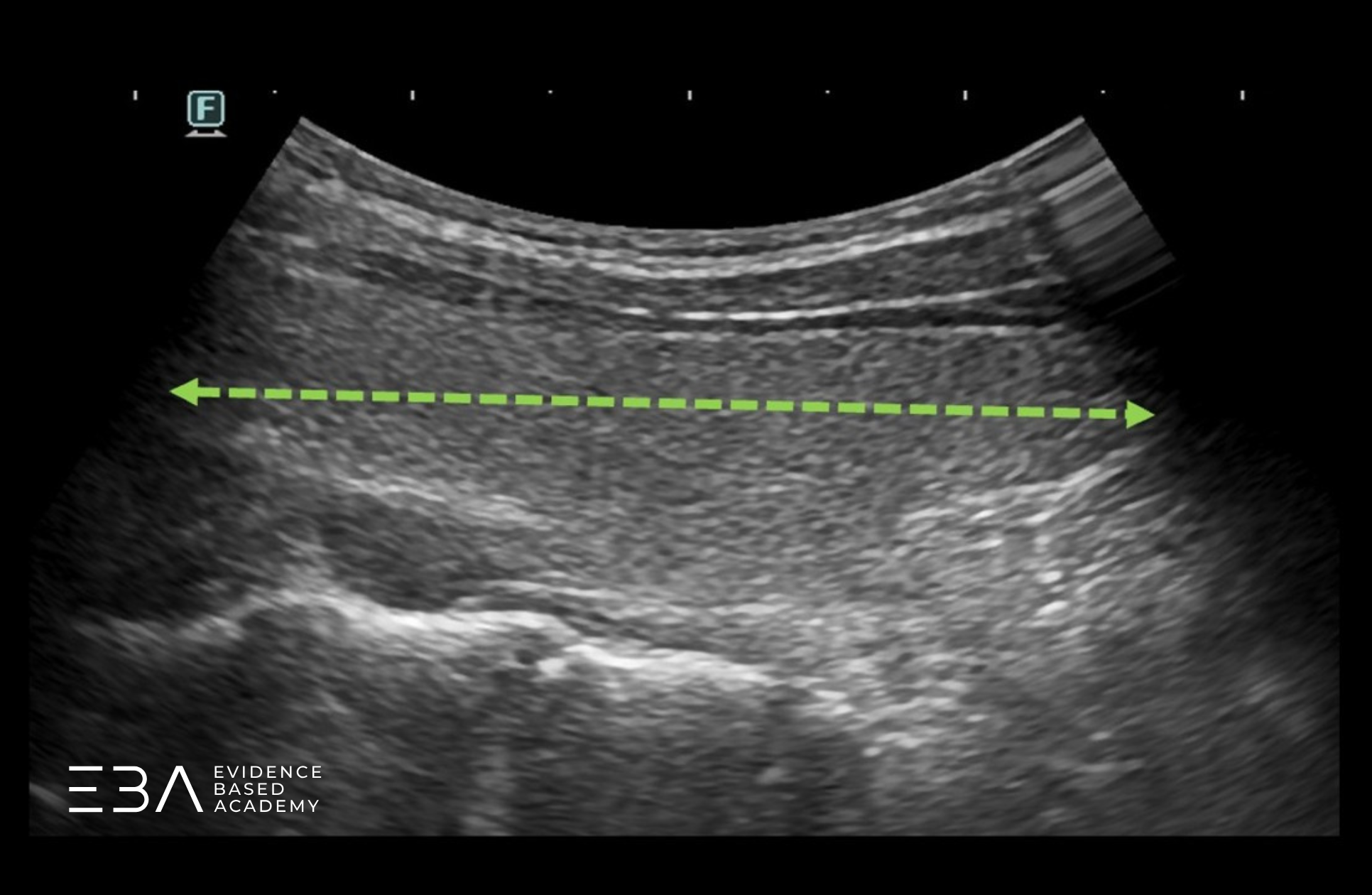
Uzyskując przekrój podłużny przez płat, wybieramy miejsce, w którym płat jest najdłuższy. Po zatrzymaniu obrazu umieszczamy kursor w najdalej położonym punkcie górnego bieguna i wyznaczamy linię do najdalej położonego punktu bieguna dolnego, zgodnie z osią długą płata.

Pomiar długości płata głowicą liniową.

Przy znacznym powiększeniu tarczycy szerokość pola widzenia głowicy liniowej może być niewystarczająca do wykonania pomiarów. Problematyczne staje się zwłaszcza uwidocznienie całego płata w jego osi długiej. W takiej sytuacji do oceny „długości” płata możemy wykorzystać głowicę konweksową.

Pomiar długości płata głowicą typu konweks.

Pomiar cieśni

Wymiar przednio-tylny (AP) cieśni uzyskujemy w przekroju poprzecznym, w miejscu, gdzie cieśń jest najgrubsza. Jest to jedyny wymiar cieśni, który oceniamy.

Każdy z uzyskanych pomiarów aparat ultrasonograficzny prezentuje w milimetrach [mm]. Sugerujemy podawanie wymiarów tarczycy w milimetrach – unikamy w ten sposób błędów przy przeliczaniu jednostek.

Pomiary grubości cieśni.

Obliczanie objętości tarczycy

Wielkość tarczycy określamy poprzez obliczenie jej objętości. Jest ona sumą objętości prawego i lewego płata – objętość cieśni z zasady pomijamy. Do obliczeń używamy wzoru na elipsoidę obrotową.

Długość [cm] × szerokość [cm] × grubość [cm] × 0,52 = objętość [ml]

Uwaga: wzór wymaga podania wymiarów w centymetrach, dlatego przed podstawieniem do wzoru musimy przeliczyć wartości z milimetrów na centymetry. Wynik otrzymujemy w cm³, czyli mililitrach [ml].

Wiele aparatów oferuje automatyczną opcję pomiaru objętości – „Volume”. Wykorzystujemy ją w połączeniu z podziałem obrazu na dwie części – tzw. „Dual scan”. Dzięki temu na monitorze możemy jednocześnie uzyskać dwa prostopadłe do siebie przekroje potrzebne do uzyskania wszystkich trzech wymiarów płata. Po ich wyznaczeniu aparat sam obliczy objętość.

Wykorzystanie opcji Volume do pomiaru objętości płata.

Integralną częścią oceny tarczycy jest ocena węzłów chłonnych szyjnych. O tym, jak ocenić węzły chłonne szyjne u dziecka, możesz posłuchać w tym wykładzie.

Stawiasz pierwsze kroki w USG – zachęcamy do wysłuchania pozostałych wykładów na naszym kanale na platformie YouTube.

Piśmiennictwo
  1. Jarząb B, et al. Diagnostyka i leczenie raka tarczycy u chorych dorosłych – Rekomendacje Polskich Towarzystw Naukowych oraz Narodowej Strategii Onkologicznej. Aktualizacja na rok 2022]. Endokrynol Pol. 2022;73(2):173-300
  2. Handkiewicz-Junak D, Niedziela M, Lewiński A, Bosowski A, Chmielik E, Czarniecka A, Dedecjus M, Dembowska-Bagińska B, Gawlik-Starzyk A, Górecki W, Harasymczuk J, Jarząb B, Krajewska J, Kropińska A, Kucharska A, Kurzawa P, Małecka-Tendera E, Mańkowski P, Polnik D, Pomorski L, Prokurat A, Raciborska A, Stawerska R, Taczanowska-Niemczuk A, Tarasińska M. Diagnostics and treatment of differentiated thyroid carcinoma in children – Guidelines of the Polish National Scientific Societies, 2024 Update. Endokrynol Pol. 2024;75(6):565-591. doi: 10.5603/ep.103845. PMID: 39829212.
  3. Trzebińska, A., i wsp.. (2014). Standards of the Polish Ultrasound Society – update. Ultrasound examination of thyroid gland and ultrasound-guided thyroid biopsy. Journal of ultrasonography , 14 (56), 49–60
  4. Jakubowski W. (red.): Standardy badań ultrasonograficznych Polskiego Towarzystwa Ultrasonograficznego. Wyd. 4, Praktyczna Ultrasonografia, Roztoczańska Szkoła Ultrasonografii, Warszawa – Zamość 2011
  5. Białek E., Jakubowski W.: Ultrasonograficzna diagnostyka tarczycy, przytarczyc i węzłów chłonnych szyi. Seria wydawnicza Praktyczna Ultrasonografia, Warszawa-Zamość 2004, 13, 24-27, 39-44, 54-57, 61-79, 104-106
  6. Gołkowski F, Szybiński Z, Huszno B, Stanuch H, Zarnecki A. Ultrasound measurement of thyroid volume in the nation-wide epidemiological survey on iodine deficiency in Poland. Endokrynol Pol. 1993;44(3):351-8
  7. Moschos, E., & Mentzel, H. J. (2022). Ultrasound findings of the thyroid gland in children and adolescents. Journal of ultrasound, 10.1007/s40477-022.
  8. Tritou I, Vakaki M, Sfakiotaki R, Kalaitzaki K, Raissaki M (2020) Pediatric thyroid ultrasound: a radiologist’s checklist. Pediatr Radiol 50:563–574
  9. Goldis M, Waldman L, Marginean O et al (2016) Thyroid imaging in infants. Endocrinol Metab Clin N Am 45:255–266
  10. Recommended normative values for thyroid volume in children aged 6-15 years. World Health Organization & International Council for Control of Iodine Deficiency Disorders. Bull World Health Organ. 1997;75(2):95-7

Autorzy
Picture of Dr n. med. Błażej Littwin

Dr n. med. Błażej Littwin

Jestem absolwentem Wydziału Lekarskiego Gdańskiego Uniwersytetu Medycznego. W 2020 uzyskałem tytuł specjalisty z dziedziny pediatrii, a w 2023 roku stopień doktora nauk medycznych na podstawie pracy dotyczącej możliwości wykorzystania ultrasonograficznej elastografii wątroby w onkologii dziecięcej...

Przeczytaj więcej
Technika badania i anatomia ultrasonograficzna ślinianek​
| data publikacji: 19 listopada 2025 roku | autor: dr n. med. Jakub Wiśniewski, lek. Andrzej Pomiećko |
Czytaj dalej
error: Treść podlega prawom autorskim.