Technika badania i anatomia ultrasonograficzna ślinianek

| data publikacji: 17 listopada 2025 roku | autor: dr n. med. Jakub Wiśniewski, lek. Andrzej Pomiećko |

Dzięki swojemu położeniu większa część gruczołów ślinowych jest dostępna badaniu USG. Do ich oceny stosowane są przede wszystkim głowice liniowe o wysokiej częstotliwości. Używane obecnie głowice o częstotliwości do 18 MHz pozwalają na uzyskanie dobrych jakościowo obrazów w wysokiej rozdzielczości. Ocenę prowadzimy w skali szarości (B-mode) oraz przy użyciu opcji Dopplera (color Doppler, power Doppler). W wybranych przypadkach, np. celem oceny wielkości dużych zmian ogniskowych, pomocne może być zastosowanie głowic konweksowychmikrokonweksowych. Badanie nie wymaga przygotowania, choć w niektórych sytuacjach klinicznych może być poprzedzone podaniem substancji pobudzających wydzielanie śliny (np. soku z cytryny).

Ocena USG ślinianek obejmuje wszystkie główne gruczoły ślinowe – przyuszne, podżuchwowe i podjęzykowe oraz regionalne węzły chłonne. Najczęściej dziecko ułożone jest w pozycji leżącej na plecach. W zależności od badanego gruczołu prosimy o zwrócenie głowy w bok lub o ułożenie pośrodkowo i niewielkie uniesienie brody ku górze. W przypadku małych dzieci pomocne jest położenie dziecka na brzuchu rodzica lub opiekuna. Każda ze ślinianek powinna zostać oceniona w dwóch prostopadłych do siebie płaszczyznach.

USG ślinianki charakteryzują się echogenicznością wyższą od echogeniczności mięśni (zbliżoną do echogeniczności tkanki tłuszczowej oraz echogeniczności prawidłowego miąższu tarczycy) i jednorodną echostrukturą. W warunkach prawidłowych przewody wyprowadzające zazwyczaj są niewidoczne. Echogeniczność ślinianki podżuchwowej może być nieco niższa od echogeniczności ślinianki przyusznej. Unaczynienie prawidłowych ślinianek jest skąpe, a w przypadku ślinianek podjęzykowych często trudne do uwidocznienia.

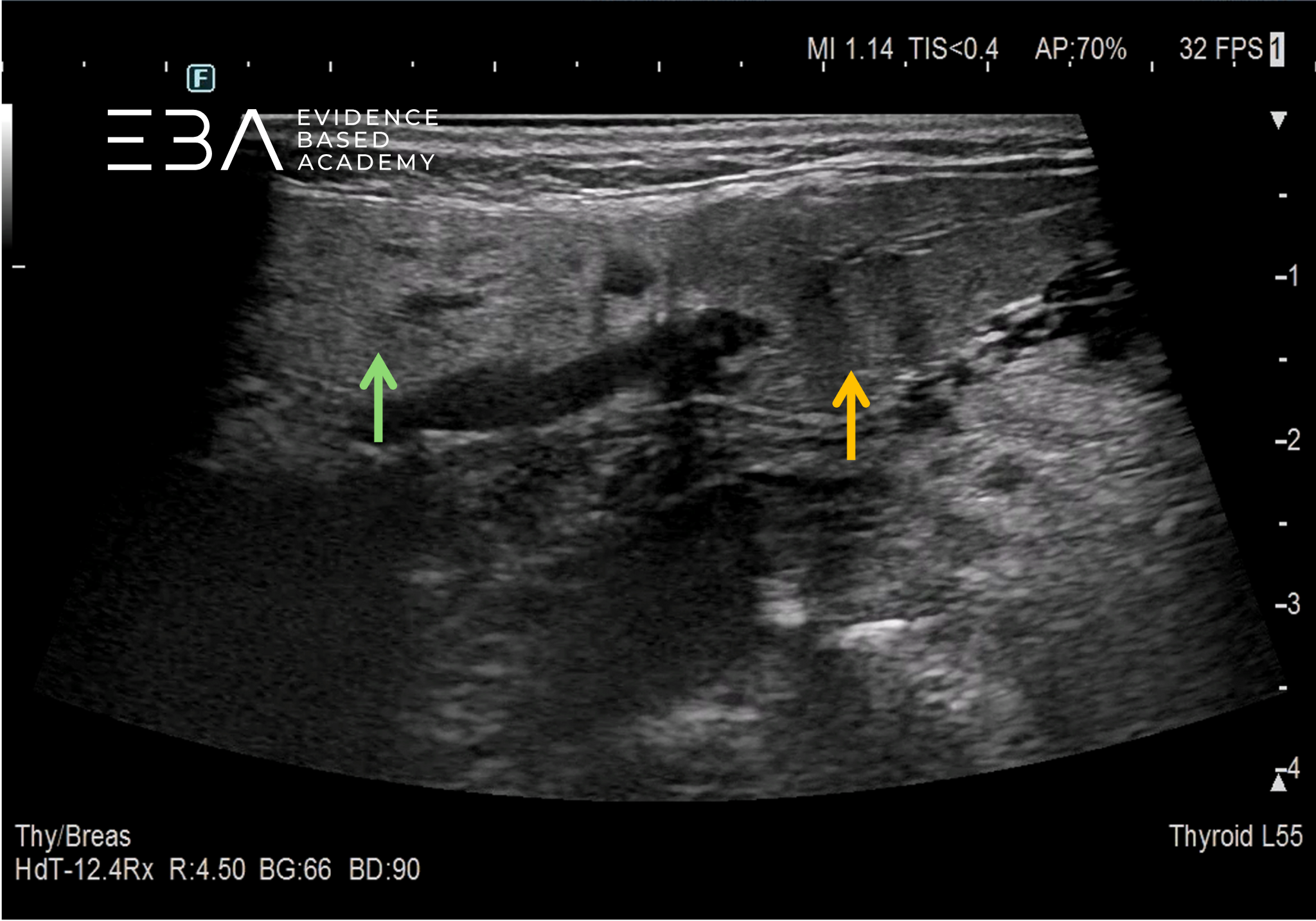
1. Porównanie echogeniczności miąższu ślinianki przyusznej (zielona strzałka) i ślinianki podżuchwowej (żółta strzałka)

Ślinianka przyuszna to największy, parzysty gruczoł ślinowy, zlokalizowany pomiędzy mięśniem żwaczem i mięśniem mostkowo-obojczykowo-sutkowym. Przez śliniankę przebiega tętnica szyjna zewnętrzna. Ślinianka przyuszna jest otoczona łącznotkankową torebką. Przewód wyprowadzający ślinianki (przewód Stenona lub przewód Stensena) biegnie od przedniego brzegu ślinianki, poniżej łuku jarzmowego, na powierzchni mięśnia żwacza, a następnie po przejściu przez ciało tłuszczowe policzka i mięsień policzkowy uchodzi do przedsionka jamy ustnej w okolicy trzonowców. W dystalnym odcinku przewodu może występować wariant anatomiczny w postaci ślinianki przyusznej dodatkowej. W miąższu prawidłowej ślinianki przyusznej można uwidocznić pojedyncze węzły chłonne. Należy pamiętać, że część głębokiego płata ślinianki jest przesłonięta przez żuchwę i może być niedostępna badaniu USG. Przewód wyprowadzający zwykle jest niewidoczny, choć czasem udaje się go uwidocznić w postaci bezechowej tubularnej struktury o średnicy <1 mm. Należy ocenić całą dostępną część miąższu ślinianki w płaszczyźnie poprzecznej (równoległej do trzonu żuchwy), przesuwając głowicę z góry ku dołowi oraz w płaszczyźnie czołowej, przesuwając głowicę od przodu do tyłu.

 

A. Przyłożenie głowicy do lewej ślinianki przyusznej w projekcji podłużnej.
B. Przyłożenie głowicy do lewej ślinianki przyusznej w projekcji poprzecznej.
C. Przyłożenie głowicy do oceny miąższu ślinianki w okolicy zausznej.

2. Prawidłowy miąższ ślinianki przyusznej.                                                       

3. Prawidłowy miąższ ślinianki przyusznej.                                          

4. Prawidłowy miąższ ślinianki przyusznej. Na filmie widoczne bezechowe, tubularne struktury – przebiegająca przez śliniankę tętnica szyjna zewnętrzna i żyła zażuchwowa.

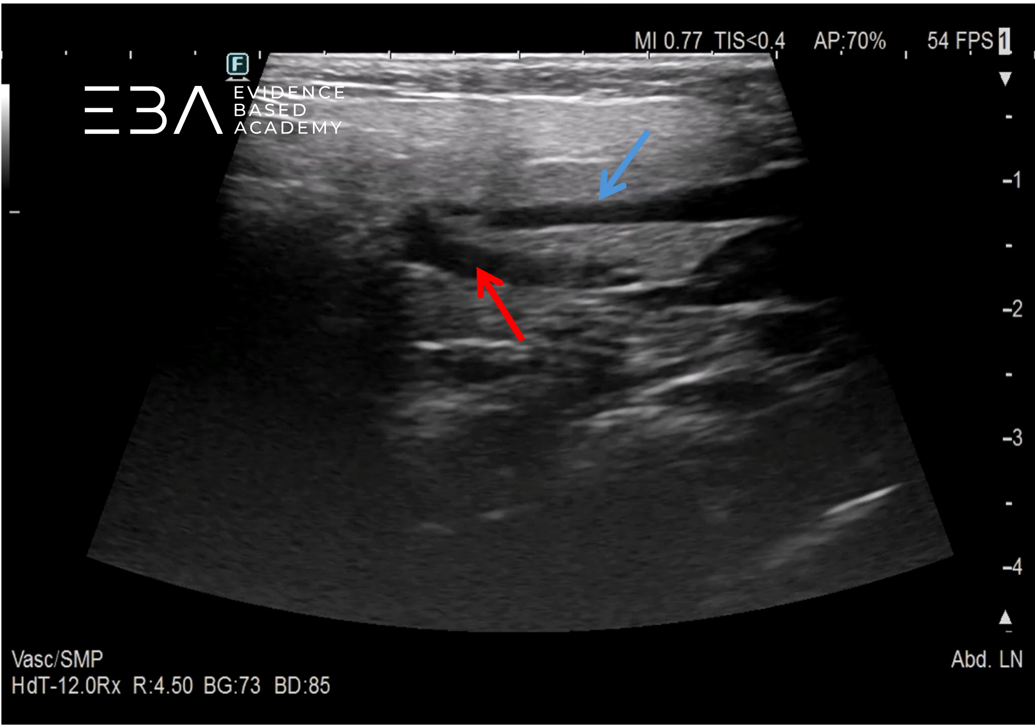
5. Ślinianka przyuszna. Niebieską strzałką zaznaczono żyłę zażuchwową, czerwoną strzałką zaznaczono tętnicę szyjną zewnętrzną.
6. Ślinianka przyuszna. Naczynia w ocenie power Doppler.
7. Ślinianka przyuszna. Strzałką zaznaczono węzeł chłonny położony wewnątrz ślinianki.

Ślinianka podżuchwowa znajduje się w przestrzeni podżuchwowej, za mięśniem żuchwowo-gnykowym, przyśrodkowo do trzonu żuchwy. Przednia powierzchnia gruczołu, w postaci wyrostka górnego, może przylegać do bocznego brzegu ślinianki podjęzykowej. Przewód wyprowadzający ślinianki (przewód Whartona) rozpoczyna się w głębokiej części gruczołu, kierując się do przodu i przyśrodka. Najczęściej w dnie jamy ustnej uchodzi wspólnie z przewodem wyprowadzającym śliniaki podjęzykowej na mięsku podjęzykowym. Podobnie jak w przypadku pozostałych przewodów wyprowadzajcych zwykle jest niewidoczny lub przyjmuje postać bezechowej, linijnej struktury o niewielkiej średnicy. Echogeniczność ślinianki podżuchwowej jest taka sama lub nieco niższa od echogeniczności ślinianki przyusznej. Echostruktura jest dyskretnie mniej jednorodna od echostruktury ślinianki przyusznej, co może być związane z obecnością gruczołów surowiczych.

D. Przyłożenie głowicy do lewej ślinianki podżuchwowej w projekcji podżuchwowej.

8. Prawidłowy obraz ślinianki przyusznej i ślinianki podżuchwowej.

9. Ślinianka podżuchwowa (pomarańczowa strzałka) w projekcji podżuchwowej. Czerwoną strzałką oznaczono migdałek podniebienne z widocznymi kryptami. Fioletową strzałką oznaczono język.

10. Ślinianka podżuchwowa w projekcji podżuchwowej.         

Ślinianki podjęzykowe to małe gruczoły zlokalizowane w dnie jamy ustnej, w przedniej części przestrzeni podjęzykowej, do boku od mięśni bródkowych. Tylny biegun ślinianki podjęzykowej może się stykać z wyrostkiem górnym ślinianki podżuchwowej, a biegun przedni może łączyć się z biegunem przednim przeciwległej ślinianki. Celem uwidocznienia ślinianki w USG najczęściej poprosimy pacjenta o uniesienie brody ku górze, a głowice przyłożoną poprzecznie do okolicy podbródkowej kierujemy czołem ku górze. Taka pozycja pozwala na ocenę ślinianek w płaszczyźnie czołowej, przesuwając głowicę od brody w kierunku kości gnykowej. Jeśli to możliwe, po zrotowaniu głowicy o 90 stopni oceniamy ślinianki w płaszczyźnie strzałkowej. Echogenicznośćechostruktura ślinianek podjęzykowych jest zbliżona do analogicznych cech ślinianek podżuchwowych. Główny przewód wyprowadzający, czyli przewód podjęzykowy większy (przewód Bartholina) uchodzi najczęściej wspólnie z przewodem Whartona i jest niewidoczny w USG.     

E. Przyłożenie głowicy do okolicy podbródkowej w projekcji poprzecznej.
F. Przyłożenie głowicy do okolicy podbródkowej w projekcji podłużnej.
11. Projekcja podżuchwowa – pomarańczową strzałką oznaczono śliniankę podżuchwową, niebieską strzałką śliniankę podjęzykową.

12. Projekcja podżuchwowa. Widoczna ślinianka podżuchwowa, w końcowej części filmu ślinianka podjęzykowa.

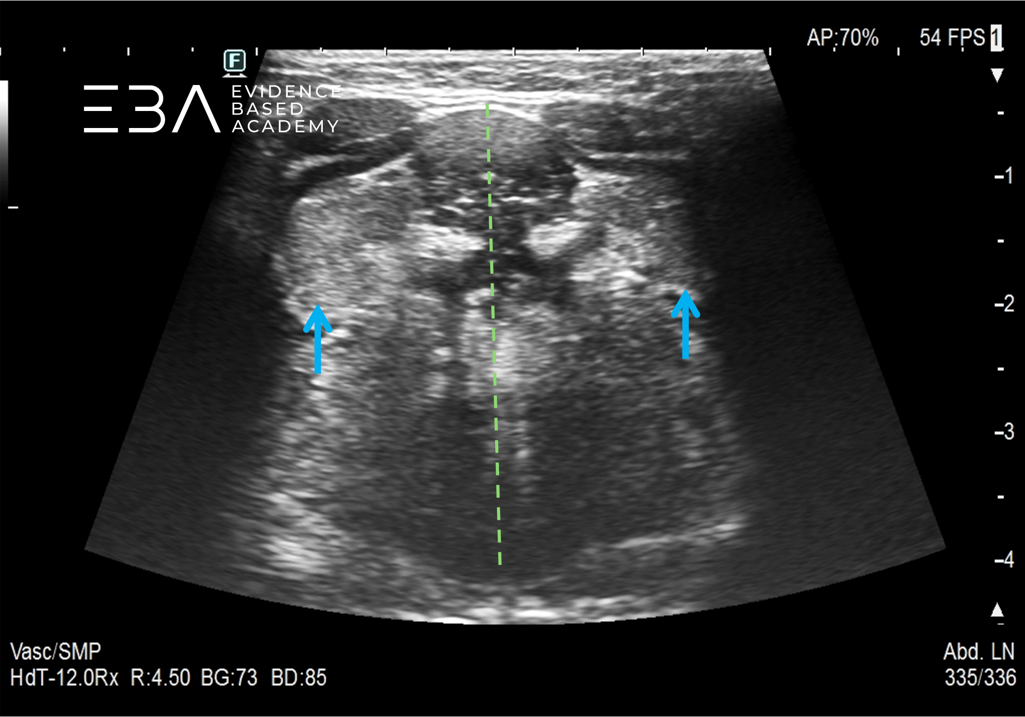
13. Ślinianki podjęzykowe (niebieskie strzałki) w projekcji poprzecznej, podbródkowej. Zieloną linią oznaczono linię pośrodkową ciała.

14. Ślinianki podjęzykowe w projekcji podbródkowej.                          

Integralną częścią oceny ślinianek jest ocena węzłów chłonnych szyjnych. O tym, jak ocenić węzły chłonne szyjne u dziecka, możesz posłuchać w tym wykładzie.

Stawiasz pierwsze kroki w USG – zachęcamy do wysłuchania pozostałych wykładów na naszym kanale w platformie YouTube.

Piśmiennictwo
  1. Bhatia KSS, Dai YL. Routine and Advanced Ultrasound of Major Salivary Glands. Neuroimaging Clin N Am. 2018 May;28(2):273-293. doi: 10.1016/j.nic.2018.01.007. PMID: 29622119.
  2. Katz P, Hartl DM, Guerre A. Clinical ultrasound of the salivary glands. Otolaryngol Clin North Am. 2009 Dec;42(6):973-1000, Table of Contents. doi: 10.1016/j.otc.2009.08.009. PMID: 19962004.
  3. Beale T, Madani G. Anatomy of the salivary glands. Semin Ultrasound CT MR. 2006 Dec;27(6):436-9. doi: 10.1053/j.sult.2006.09.001. PMID: 17233226.
  4. Kochhar A, Larian B, Azizzadeh B. Facial Nerve and Parotid Gland Anatomy. Otolaryngol Clin North Am. 2016 Apr;49(2):273-84. doi: 10.1016/j.otc.2015.10.002. PMID: 27040583.
  5. Rosa MA, Łazarz DP, Pękala JR, Skinningsrud B, Lauritzen SS, Solewski B, Pękala PA, Walocha JA, Tomaszewski KA. The Accessory Parotid Gland and its Clinical Significance. J Craniofac Surg. 2020 May/Jun;31(3):856-860. doi: 10.1097/SCS.0000000000006092. PMID: 31856138.
  6. Kohan EJ, Wirth GA. Anatomy of the neck. Clin Plast Surg. 2014 Jan;41(1):1-6. doi: 10.1016/j.cps.2013.09.016. PMID: 24295343.
Autorzy
Picture of Dr n. med. Jakub Wiśniewski

Dr n. med. Jakub Wiśniewski

Jestem absolwentem Wydziału Lekarskiego i Studiów Doktoranckich Gdańskiego Uniwersytetu Medycznego. W 2015 roku uzyskałem tytułu specjalisty z dziedziny pediatrii, a w 2016 roku stopień doktora nauk medycznych...

Picture of Lek. Andrzej Pomiećko

Lek. Andrzej Pomiećko

Jestem absolwentem Wydziału Lekarskiego Gdańskiego Uniwersytetu Medycznego. W 2022 ukończyłem szkolenie specjalizacyjne w dziedzinie pediatrii w Klinice Pediatrii, Hematologii i Onkologii Uniwersyteckiego Centrum Klinicznego w Gdańsku...

Przeczytaj więcej
USG kanału kręgowego - technika badania i obraz prawidłowy
| data publikacji: 8 stycznia 2026 roku | autor: lek. Andrzej Pomiećko, dr n. med. Jakub Wiśniewski |
Czytaj dalej
error: Treść podlega prawom autorskim.