Mózgowie - obraz prawidłowy i technika badania

| data publikacji: 17 marca 2026 roku
| autorzy: dr n. med. Jakub Wiśniewski, dr n. med. Błażej Littwin, lek. Andrzej Pomiećko

Wstęp

Ultrasonografia mózgowia, najczęściej nazywane ultrasonografią przezciemiączkową jest pierwszym badaniem obrazowym, po które sięgamy w diagnostyce mózgowia noworodka i niemowlęcia (1). Na wielu oddziałach intensywnej terapii noworodkowej jest niezbędnym elementem opieki nad ciężko chorymi noworodkami – zarówno wcześniakami, jak i noworodkami donoszonymi (2).

USG mózgowia jest stosunkowo niedrogie, łatwo dostępne (a przynajmniej dostęp do aparatów jest coraz lepszy :)) i można je wykonać przy łóżku pacjenta, co jest ogromną zaletą w przypadku opieki nad niestabilnym pacjentem, którego nie da się przetransportować do zakładu radiologii (1, 3, 5, 6, 7). Pacjenta nie trzeba specjalnie przygotowywać, a brak narażenia na promieniowanie jonizujące pozwala na bezpieczne powtarzanie w razie potrzeby (1, 3, 6, 7). Do chwili obecnej nie znaleziono dowodów na niekorzystne efekty badania ultrasonograficznego u noworodków (3).

Musimy jednak pamiętać o ograniczeniach metody – jakość badania zależy od doświadczenia operatora, dostępności odpowiedniego okna akustycznego, a czułość i swoistość mogą być ograniczona w diagnostyce wad rozwojowych oraz zmian w obrębie istoty białej (1).

Prawidłowa technika badania, znajomość budowy mózgowia oraz wariantów anatomicznych stanowią fundament trafnej diagnostyki ultrasonograficznej (2).

Sprzęt i ustawienia aparatu

Na początku badania USG mózgowia, jak podczas każdego innego badania, należy prawidłowo ustawić aparat. Rozpoczynamy od podstawowych parametrów, takimi jak głębokość (Depth), wzmocnienie (Gain) i ogniskowa (Focus). Staramy się ustawić aparat tak, aby uzyskać obraz jak największej części mózgowia przy zachowaniu równowagi pomiędzy odpowiednim uwidocznieniem struktur bliższych oraz położonych głębiej. Jeśli to możliwe, staramy się widzieć kontury czaszki. Zwykle na początku badania ogniskowa powinna być ustawiona na wysokości układu komorowego, a następnie odpowiednio zmieniana w zależności od poziomu, na jakim znajdują się oceniane przez nas struktury.

Głowice

Głowice powinny wykorzystywać najwyższą częstotliwość, zapewniającą optymalną rozdzielczość w polu bliskim (2). Musimy przy tym uwzględnić kompromis między lepszą rozdzielczością (a zatem wyższą częstotliwością) i lepszą penetracją, niezbędną do oceny struktur głębokich (2, 3). Dobór odpowiedniej głowicy ma kluczowe znaczenie dla jakości badania. Powinniśmy stosować różne głowice, a wybór pomiędzy nimi zależy od wielkości ciemiączka, optymalnej rozdzielczości obrazu oraz głębokości, na jakiej znajdują się aktualnie oceniane struktury.

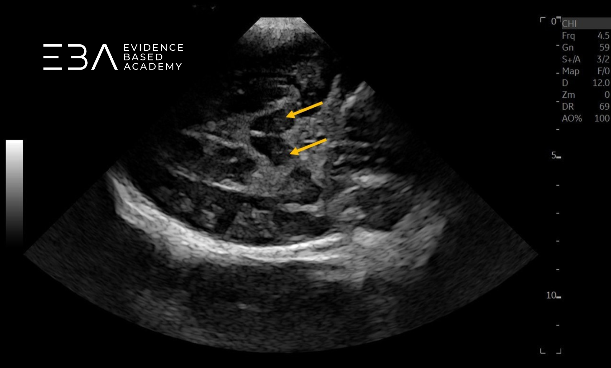
zdj. 0
Głowica sektorowa. Strzałkami zaznaczono półkule móżdżku. Słaba jakość obrazu struktur położonych blisko głowicy.

Głowice konweksowe, zwłaszcza te o niewielkim czole głowicy (mikrokonweksowe) są podstawowym narzędziem do badania mózgowia przez ciemiączko przednie (3, 7) i zastąpiły dawniej stosowane głowice sektorowe (2). Wypukły kształt pozwala na uwidocznienie dużej części mózgowia przez niewielkie okna akustyczne. Zakres częstotliwości zwykle mieści się w przedziale 5-9 MHz.

Obraz mózgowia w głowicy mikrokonweksowej.

Głowica liniowa o wysokiej częstotliwości, czyli 10–18 MHz stanowi niezbędne uzupełnienie badania (1, 3, 5). Głowica ta generuje obraz o wysokiej rozdzielczości, umożliwiający szczegółową ocenę przestrzeni przymózgowej, opon mózgowych, przestrzeni podpajęczynówkowej i podtwardówkowej, kory mózgowej, bruzdowania mózgu i móżdżku (1, 3, 5). Ze względu na duży rozmiar i niższą penetrację ich zastosowanie może być ograniczonem szczególnie w ocenie odległych struktur, np. tylnego dołu czaszki przez ciemiączko przednie (3).

Obraz mózgowia w głowicy liniowej.

Technika badania i okna akustyczne

Jakość obrazów zależy nie tylko od sprzętu, ale również od umiejętności badającego (3). W trakcie badania powinniśmy dążyć do uzyskania symetrii – obrazy po stronie prawej i lewej powinny być wzajemnie porównywalnym lustrzanym odbiciem (6). Pozwala to na ocenę m. in. symetrii bruzd i zakrętów (6). U noworodków i niemowląt kości czaszki są bardzo cienkie, a ciemiączka są otwarte, co pozwala na wizualizację znacznej części mózgowia (7).

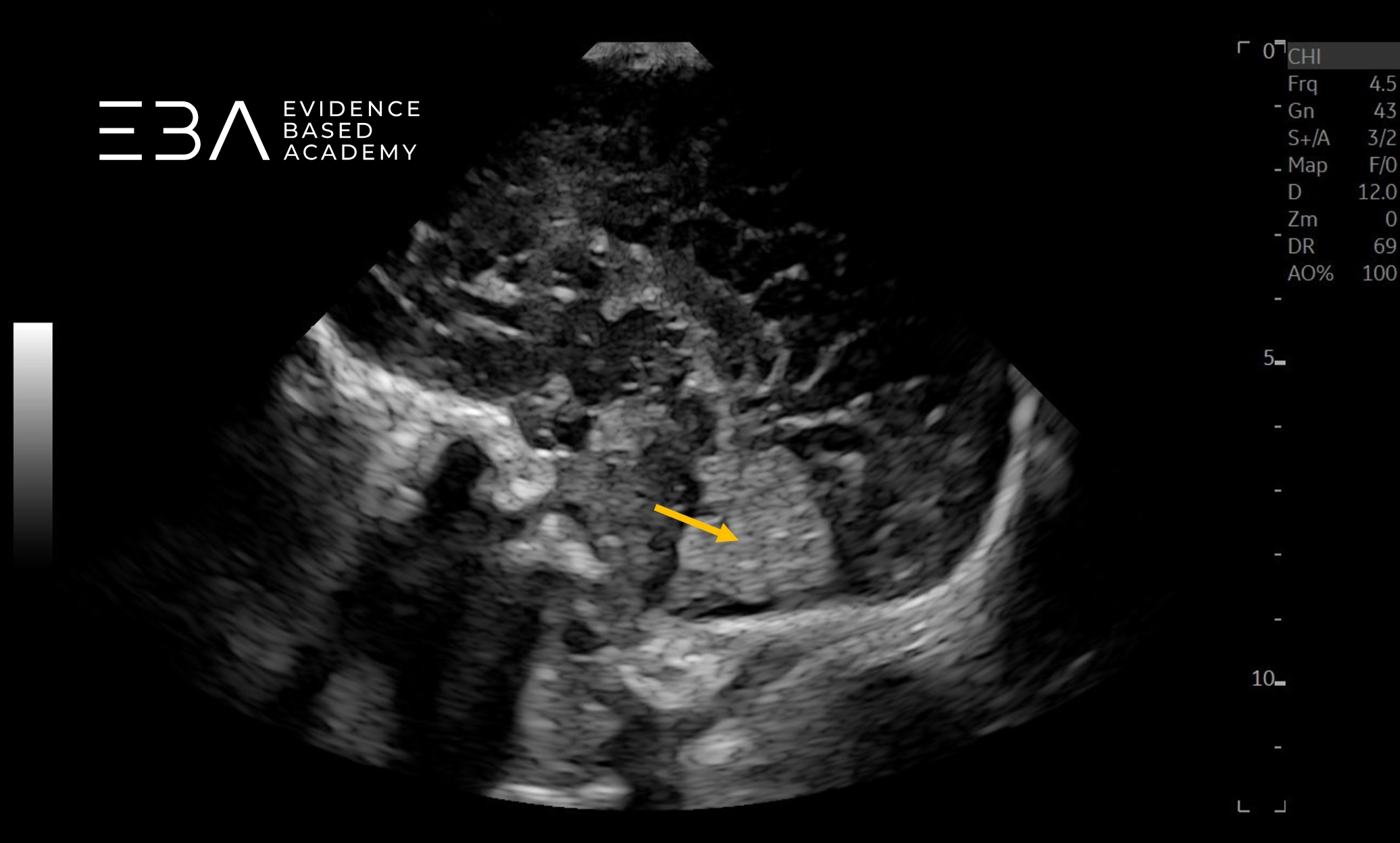
zdj. 1
Głowica mikrokonweksowa. Brak symetrii, wynikającej z nieco skośnego przyłożenia głowicy utrudnia ocenę. Strzałką zaznaczono prawy splot naczyniówkowy.

Ciemiączko przednie stanowi główne okno akustyczne – jest najczęściej wykorzystywane ze względu na rozmiar i dostępność (1, 4). Zwykle ciemiączko przednie pozostaje otwarte do 10.–12. miesiąca życia, choć niektóre stany chorobowe (np. wrodzona łamliwość kości, zespół Downa, dysplazja obojczykowo-czaszkowa) mogą opóźnić zamknięcie ciemiączek, umożliwiając badanie nawet u starszych dzieci (7).

Zdj. 2
Przyłożenie głowicy do projekcji czołowej przez ciemiączko przednie.
zdj. 3
Przyłożenie głowicy do projekcji strzałkowej przez ciemiączko przednie.

Dla optymalnej oceny mózgowia zaleca się stosowanie alternatywnych okien akustycznych (1, 2). W praktyce, możemy wykorzystać dowolny otwór w czaszce jako dodatkowe okno akustyczne (2). Do najczęściej wykorzystywanych, poza ciemiączkiem przednim, należą: ciemiączko tylne, ciemiączko sutkowe (tylno-boczne), łuska kości skroniowej oraz otwór wielki (2, 3).

Ciemiączko tylne, zlokalizowane na styku szwu strzałkowego i węgłowego, umożliwia lepszą ocenę przedsionków i rogów potylicznych komór bocznych, co poprawia wykrywalność krwawień w przypadku niejednoznacznego obrazu w ocenie przez ciemiączko przednie (2, 3). U wielu wcześniaków zadowalające obrazy można uzyskać również przez tylną część szwu strzałkowego (3). Jedocześnie ograniczone okno akustyczne jakim jest ciemiączko tylne nie pozwala na skuteczną ocenę przednio-bocznych okolic mózgowia (2).

Ciemiączko sutkowe (tylno-boczne) znajduje się za uchem, na styku kości skroniowej, ciemieniowej i potylicznej. Nie zrasta się aż do drugiego roku życia (2). Głowicę umieszczamy około 1 cm za obrąbkiem małżowiny usznej i około 1 cm powyżej poziomu skrawka (2). Dostęp ten zapewnia dobrą wizualizację struktur tylnego dołu czaszki: półkul i robaka móżdżku, komory czwartej, zbiornika wielkiego (zbiornik móżdżkowo-rdzeniowy), a także mostu i konarów mózgu (2, 3). Dodanie oceny przez ciemiączko sutkowe do standardowego badania poprawia wykrywanie zmian w móżdżku u wcześniaków – badania wykazały istotną poprawę wykrywalności krwawień do tylnego dołu czaszki (2, 5, 6). W razie potrzeby przez ciemiączko sutkowe możemy również ocenić zatokę poprzeczną i zatokę prostą z zastosowaniem opcji Dopplera (6).

zdj. 4
Przyłożenie głowicy do projekcji strzałkowej przez ciemiączko tylno-boczne.

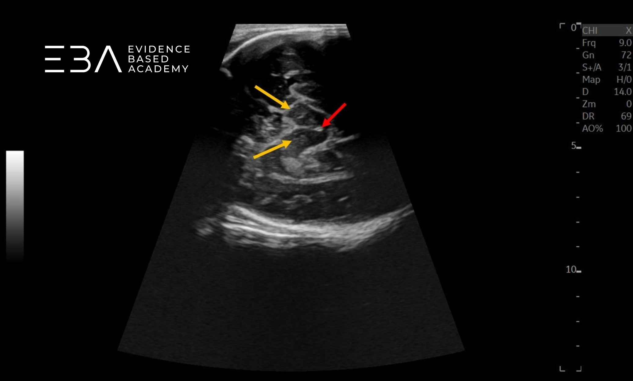
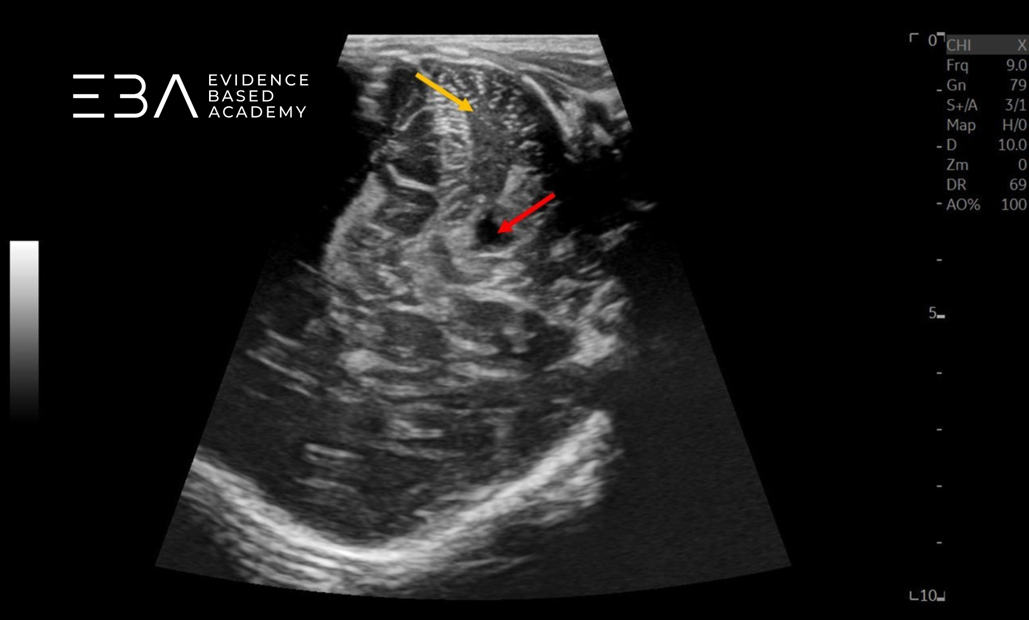
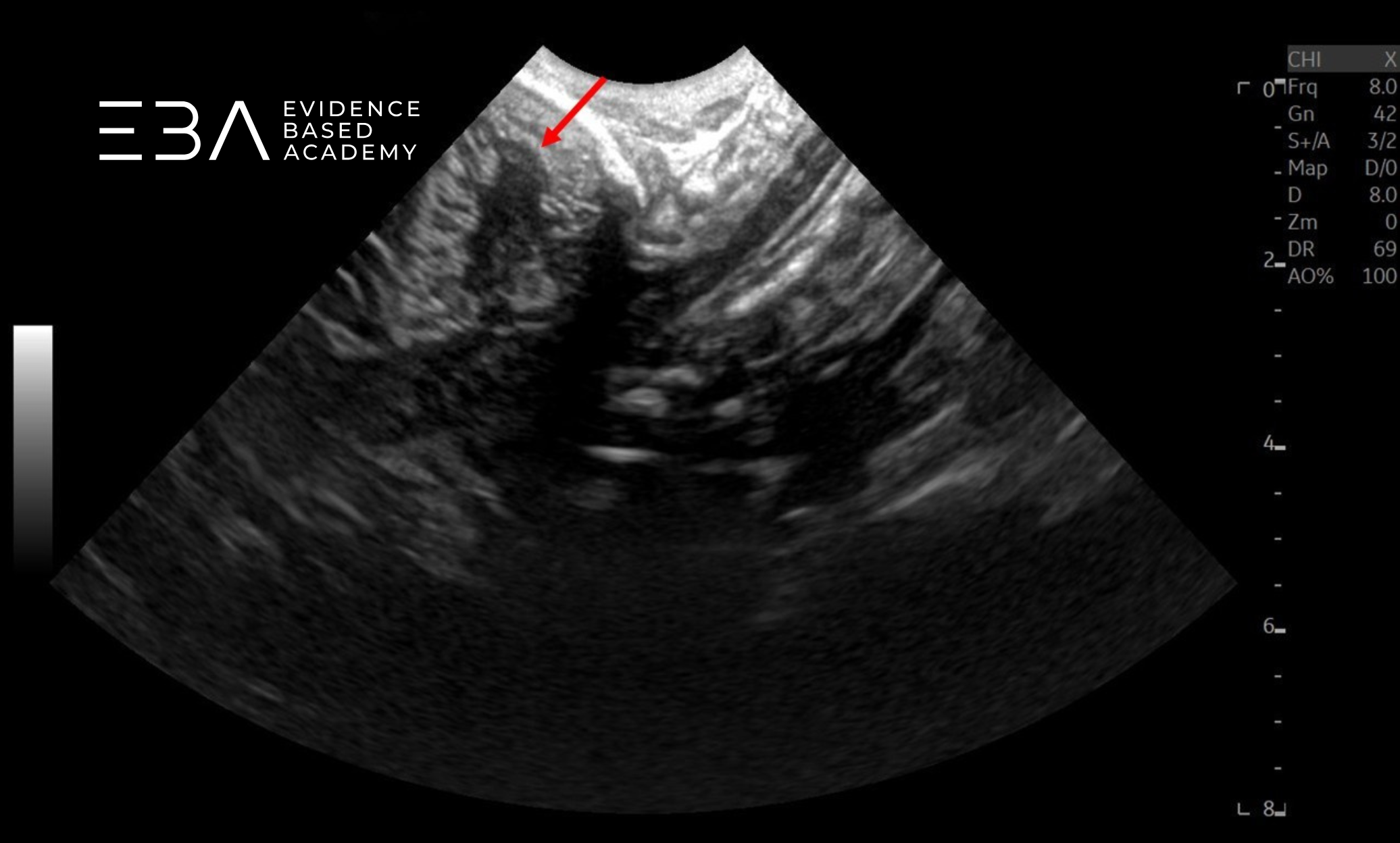
Badanie przez łuskę kości skroniowej, z głowicą umieszczoną poziomo powyżej i nieco przed uchem, umożliwia szczegółową ocenę pnia mózgu. Przez to okno możemy również uwidocznić komorę trzecią, wodociąg Sylwiusza i płaty skroniowe, a przy użyciu Dopplera – koło tętnicze Willisa (3). Jest to też dobre okno akustyczne do oceny tętnicy środkowej mózgu (2).

zdj. 5
Przyłożenie głowicy do projekcji strzałkowej przez łuskę kości skroniowej.
zdj. 5a
Głowica liniowa – badanie przez łuskę kości skroniowej. Konary mózgu (żółte strzałki), wodociąg mózgu (czerwona strzałka).
zdj. 5b
Głowica sektorowa – badanie przez łuskę kości skroniowej. Strzałkami zaznaczono konary mózgu.

Jako uzupełniające okna akustyczne możemy wykorzystać również otwór wielki (3) oraz niezarośnięty szew strzałkowy – przez ten ostatni możemy ocenić zatokę strzałkową górną (2).

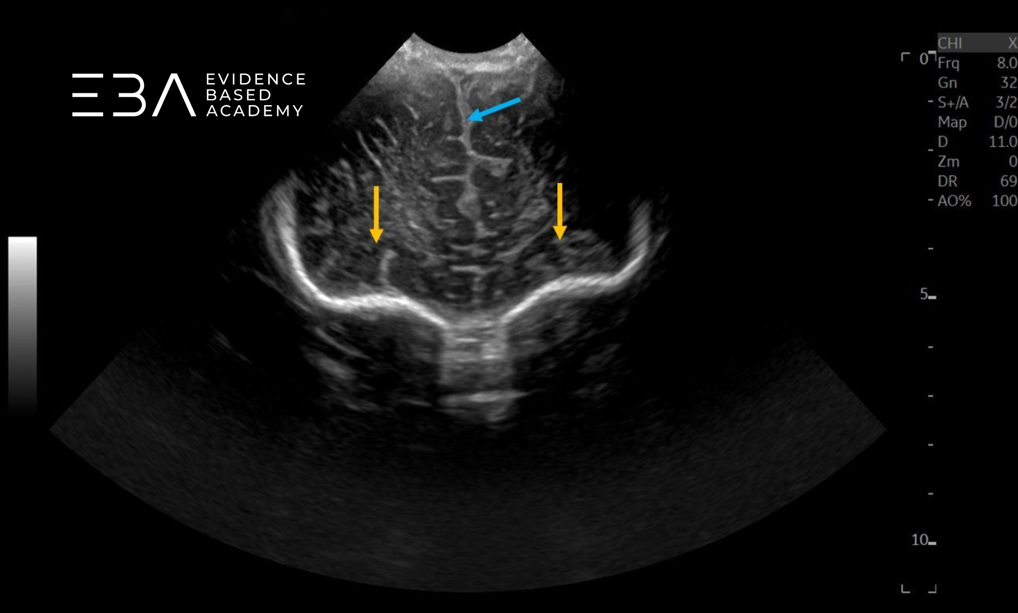
zdj. 6
Głowica liniowa. Strzałkami zaznaczono tylne części splotów naczyniówkowych
Projekcje czołowe

Standardowe badanie przez ciemiączko przednie rozpoczynamy od projekcji czołowych. Głowicę umieszczamy pośrodku ciemiączka z markerem skierowanym w prawą stronę noworodka – wówczas lewa strona mózgu widoczna jest po prawej stronie monitora (3). Obrazy uzyskujemy przez pochylanie głowicy od przodu do tyłu, skanując mózgowie od poziomu oczodołu i płata czołowego aż po okolicę potyliczną i podnamiotową (2).

Standardowo uzyskujemy co najmniej pięć do ośmiu projekcji czołowych – od płatów czołowych tuż przed rogami przednimi komór bocznych do płatów potylicznych za trójkątami komór bocznych (3, 5, 6). Pięć standardowych projekcji czołowych obejmuje (3):

Projekcja 1 – przedczołowa: widoczne są płaty czołowe na poziomie bruzd węchowych oraz stożki oczodołowe, a w linii pośrodkowej – hiperechogeniczna szczelina międzypółkulowa z sierpem mózgu (3, 6).

zdj. 7
Głowica mikrokonweksowa. Szczelina podłużna mózgu (niebieska strzałka), oczodoły (zielone strzałki).
zdj. 8
Głowica mikrokonweksowa. Szczelina podłużna mózgu (niebieska strzałka), płaty czołowe (żółte strzałki).
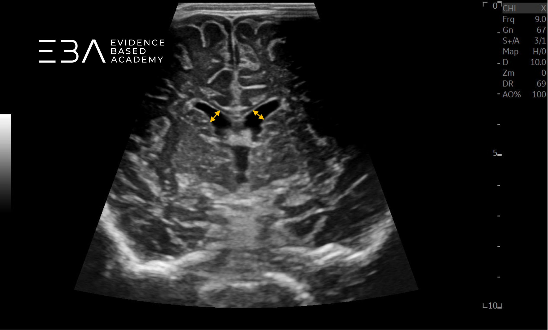
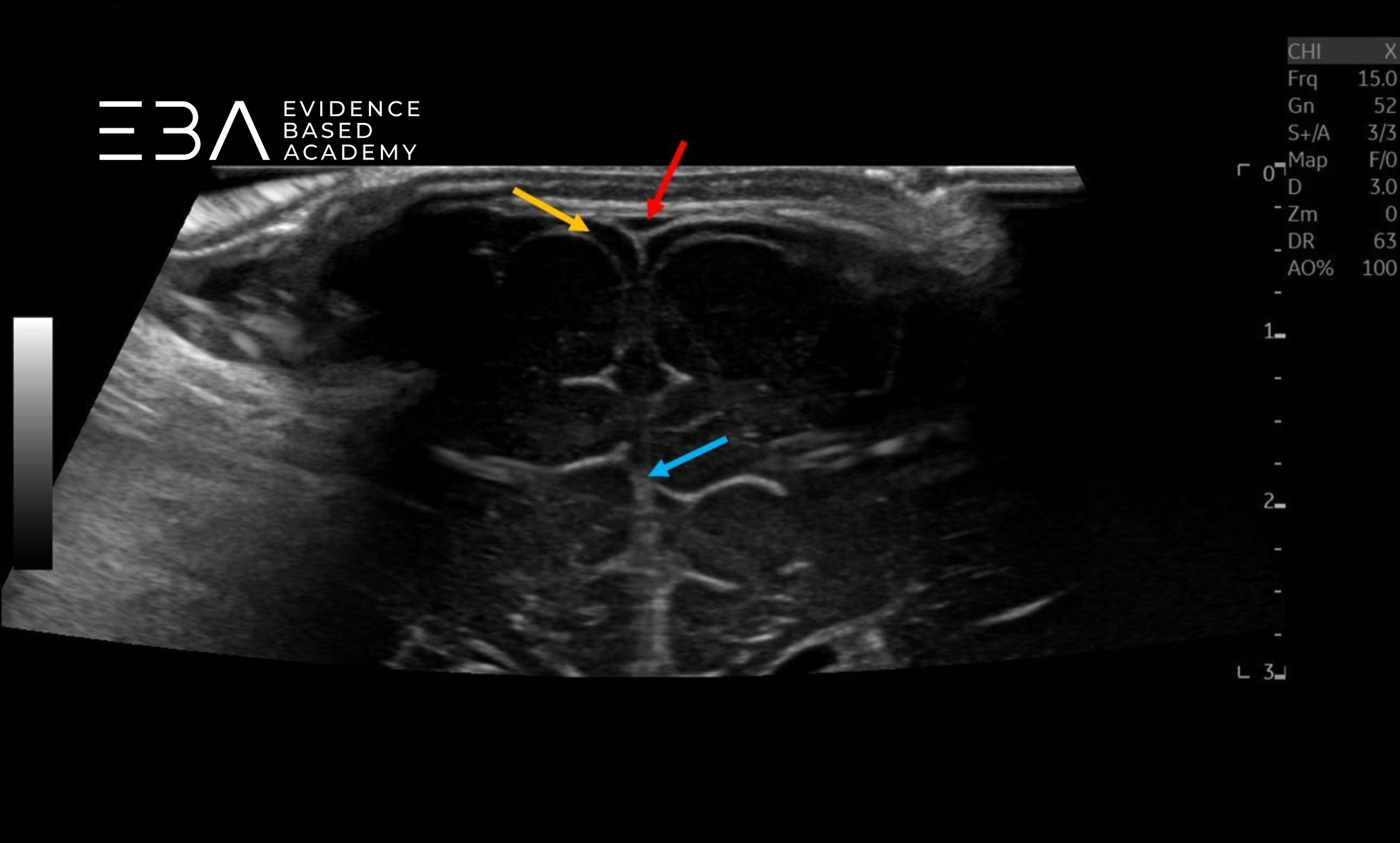
zdj. 9
Głowica mikrokonweksowa. Strzałkami zaznaczono rogi przednie komór bocznych.

Projekcja 2 – na poziomie otworów Monro: uwidaczniamy rogi czołowe komór bocznych jako parzyste, bezechowe struktury wypełnione płynem mózgowo-rdzeniowym. Głowy jąder ogoniastych tworzą ściany boczne komór. Stropem komór jest hipoechogeniczne ciało modzelowate o charakterystycznym obrazie „torów tramwajowych” – jest to główna droga połączeń międzypółkulowych, a jego grubość odzwierciedla objętość istoty białej okołokomorowej. Ścianę przyśrodkową stanowi przegroda przezroczysta. Bocznie widoczne są echogeniczne, Y-kształtne szczeliny Sylwiusza, oddzielające płaty skroniowe od czołowych, a poniżej jąder ogoniastych – skorupa i gałka blada tworzące jądra soczewkowate (6).

zdj. 10
Głowica mikrokonweksowa. Przekrój czołowy na wysokości otworów Monroe (strzałki).
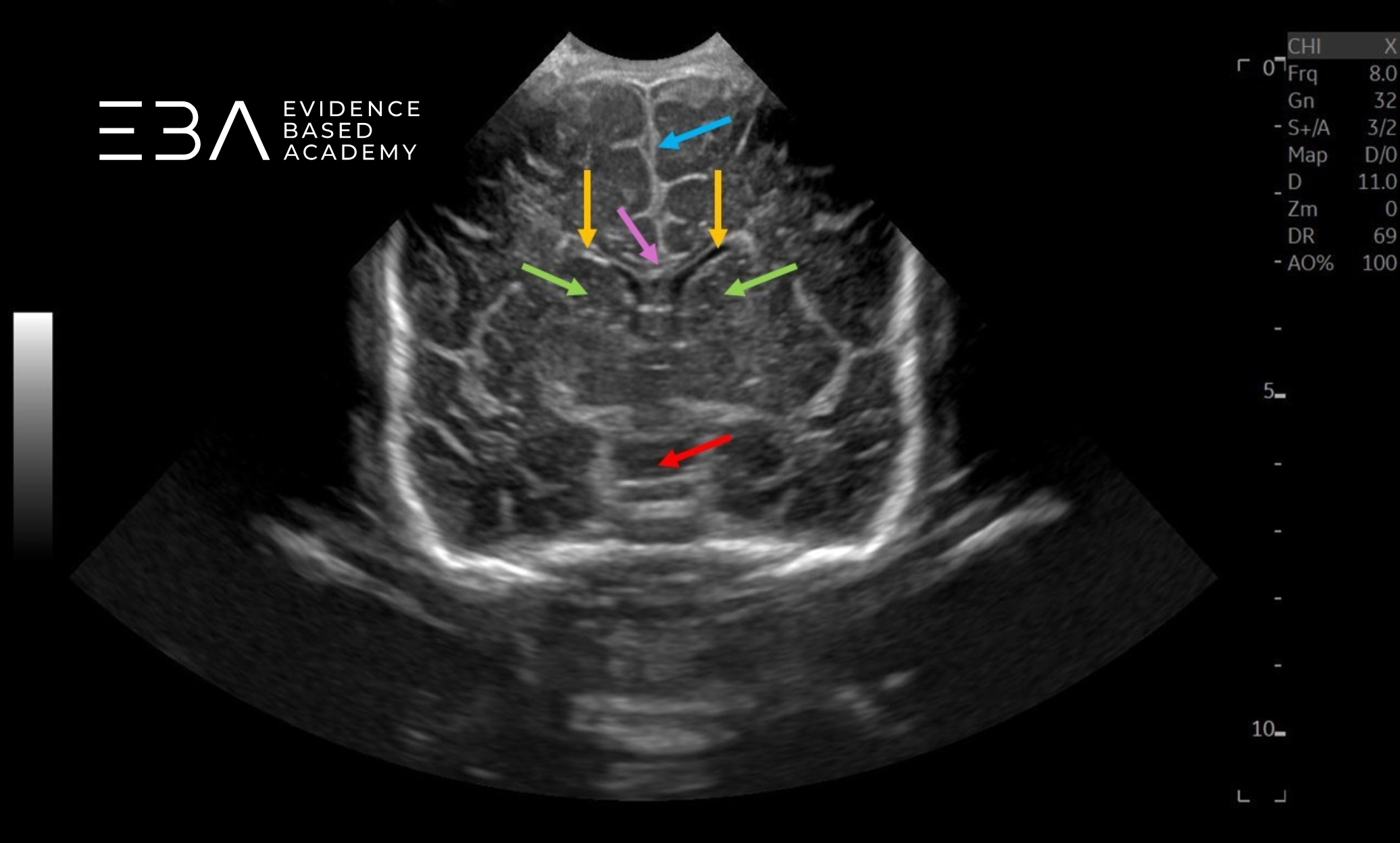
zdj. 11
Głowica mikrokonweksowa. Szczelina podłużna mózgu (niebieska strzałka), rogi czołowe komór bocznych (żółte strzałki), ciało modzelowate (fioletowa strzałka), jądra podstawy (zielone strzałki), śródmózgowie (czerwona strzałka).
zdj. 12
Głowica liniowa. Rogi czołowe komór bocznych (żółte strzałki), komora trzecia (niebieska strzałka), bruzdy boczne / szczeliny Sylwiusze (fioletowe strzałki).

Projekcja 3 – na poziomie wzgórza: widoczne są bruzdy boczne, strop komory trzeciej i płaty skroniowe. Jądra ogoniaste tworzą ściany boczne układu komorowego, ciało modzelowate — strop, a przegroda przezroczysta – ścianę przyśrodkową. Komora trzecia jest cienką bezechową strukturą pośrodkową między wzgórzami. Poniżej leżą struktury pnia mózgu (3, 6).

zdj. 13
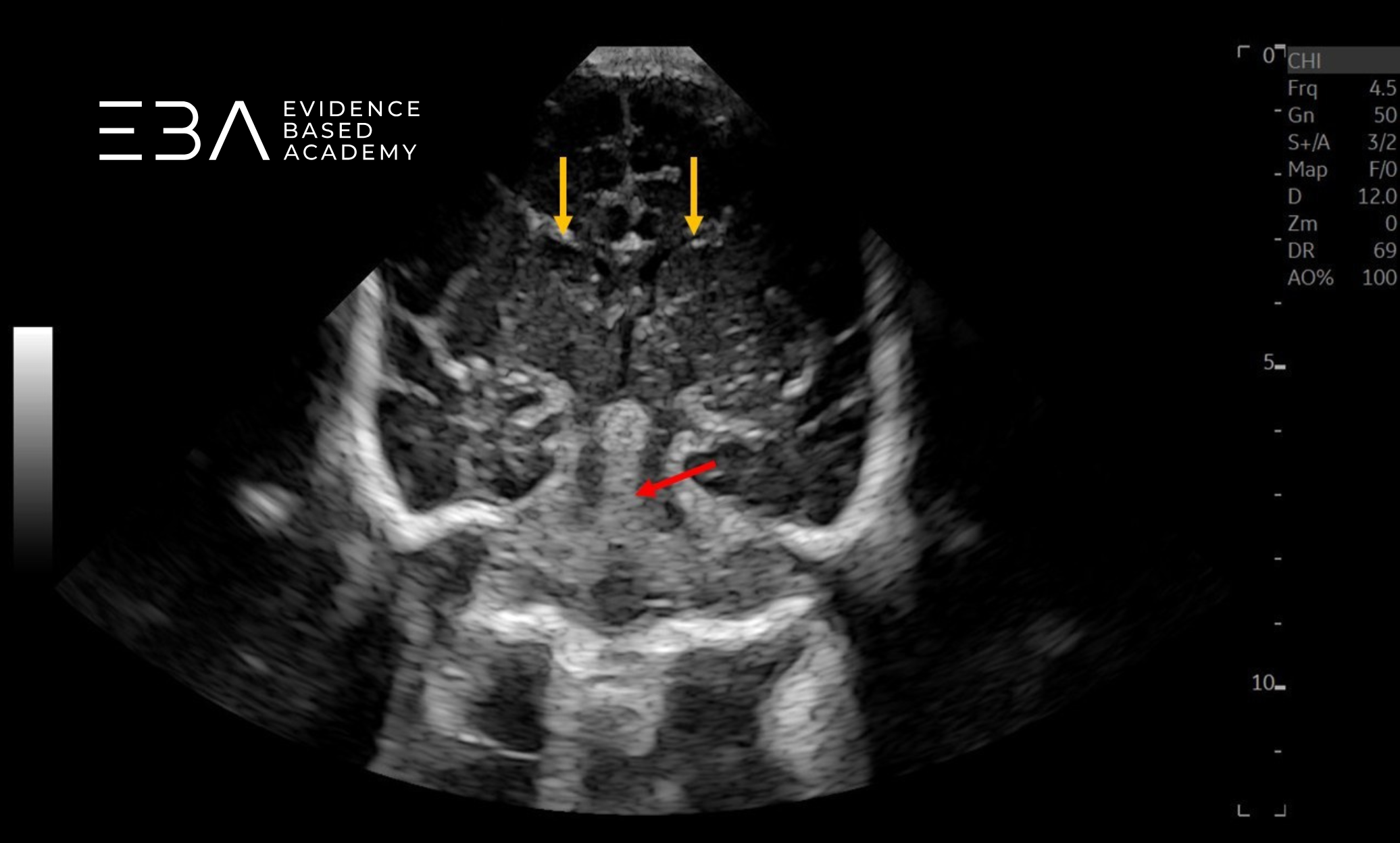
Głowica sektorowa. Żółtymi strzałkami zaznaczono rogi czołowe komór bocznych, czerwoną strzałką zaznaczono śródmózgowie.

Projekcja 4 – na poziomie trójkątów: widoczne są komory boczne na poziomie splotów naczyniówkowych i istota biała okołokomorowa. Wzgórza ograniczają komory boczne od dołu. Splot naczyniówkowy jest widoczny jako echogeniczne struktury – na stropie komory trzeciej i wzdłuż dna komór bocznych. Powyżej hipoechogenicznych półkul móżdżku widoczny jest hiperechogeniczny namiot móżdżku, a poniżej wzgórz – hipoechogeniczne konary mózgu (3, 6).

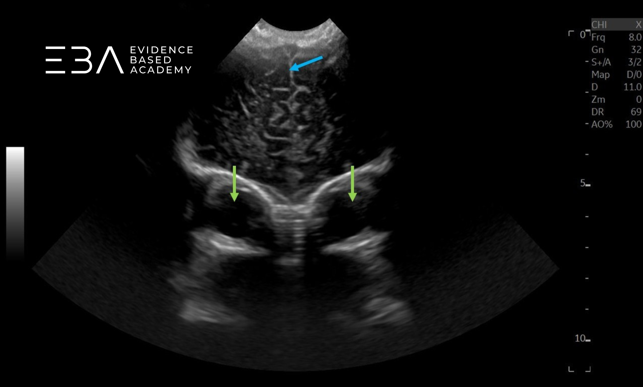
zdj. 14
Głowica liniowa. Strzałkami zaznaczono tylne części splotów naczyniówkowych.

Projekcja 5 – ciemieniowo-potyliczna: uwidacznia płaty ciemieniowe i potyliczne, rogi skroniowe komór bocznych i niekiedy ciała suteczkowate. Echogeniczny zbiornik blaszki czworaczej jest widoczny powyżej, a namiot móżdżku wyznacza górną granicę tylnego dołu czaszki. Na ostatnim obrazie, za trójkątami komór, widoczne są wypukłości półkul mózgu i szczelina międzypółkulowa (3, 6).

Symetria obrazów jest niezbędna do prawidłowej interpretacji projekcji czołowych. Każdą podejrzewaną zmianę musimy uwidocznić zarówno w projekcji czołowej, jak i strzałkowej, albo przez inne okno akustyczne – ogólną zasadą jest, że zmiany muszą być widoczne w dwóch płaszczyznach, aby potwierdzić ich obecność (3, 6). Skierowanie głowicy ze skrajnej prawej i/lub lewej strony ciemiączka przedniego w kierunku strony przeciwległej może umożliwić odpowiednią ocenę obwodowych części mózgowia (2). W przypadku podejrzenia zmian w okolicy wypukłości płata czołowego wykonujemy dodatkowe skośne projekcje czołowe, umożliwiające bardziej szczegółową ocenę jednej półkuli (3).

Projekcje strzałkowe

Projekcje strzałkowe uzyskujemy przez obrócenie głowicy o 90°, znacznikiem w kierunku czoła (przeciwnie do ruchu wskazówek zegara). Następnie identyfikujemy linię pośrodkową. Standardowo mózgowie w tej płaszczyźnie oceniamy w co najmniej 5 projekcjach (1, 6):

Projekcja pośrodkowa – kryterium uzyskania prawidłowej projekcji jest jednoczesne uwidocznienie robaka móżdżku i ciała modzelowatego. W tej projekcji widoczne są również: przegroda przezroczysta, komora trzecia i czwarta, zbiornik wielki, most i śródmózgowie (3, 6). Oceniamy obecność komory Vergi i torbieli stropu komory trzeciej (3).

zdj. 15
Głowica sektorowa (projekcja strzałkowa). Strzałką zaznaczono robak móżdżku.
zdj. 16
Głowica liniowa. Niebieską strzałką zaznaczono kolano ciała modzelowatego, zieloną strzałką zaznaczono pień ciała modzelowatego.

Projekcje przystrzałkowe – wykonujemy po 2–3 obrazy po każdej stronie, stopniowo oddalając się od linii pośrodkowej, od bruzdy wzgórzowo-ogoniastej do szczeliny Sylwiusza (6). Uwidaczniamy komorę boczną, splot naczyniówkowy, a na obrazach bardziej bocznych – rogi potyliczne i skroniowe komór bocznych oraz płaty czołowy, skroniowy, ciemieniowy i potyliczny (3, 6).

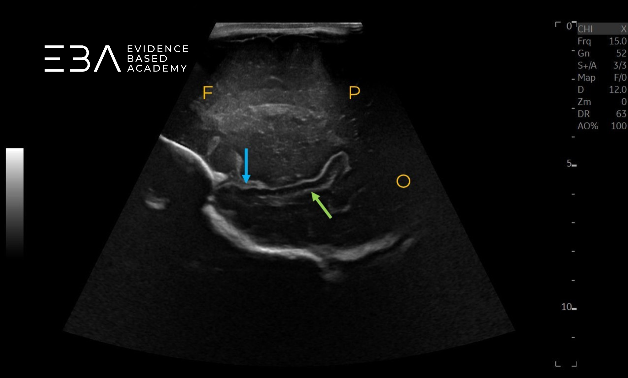
zdj. 17
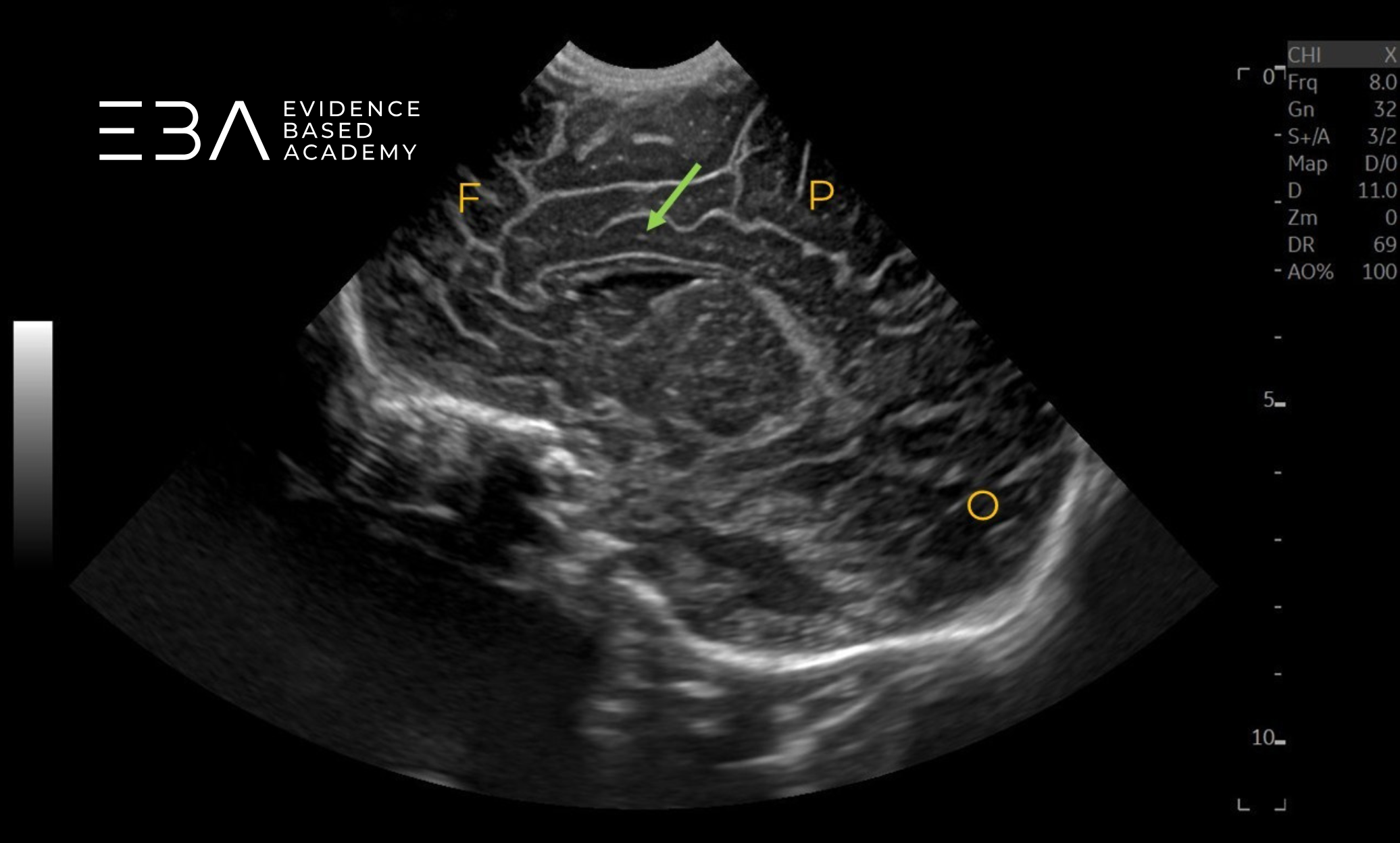
Głowica liniowa – projekcja przystrzałkowa. F – płat czołowy, P – płat ciemieniowy, O – płat potyliczny. Strzałką zaznaczono zakręt obręczy.
zdj. 18
Głowica liniowa – projekcja przystrzałkowa. Zakręt czołowy górny (niebieska strzałka), płacik okołośrodkowy (żółta strzałka), zakręt obręczy (zielona strzałka) przedklinek (czerwona strzałka), zakręt językowaty (fioletowa strzałka).
zdj. 19
Głowica liniowa. Niebieską strzałką zaznaczono róg czołowy komory bocznej, żółtą strzałką zaznaczono płat skroniowy, zieloną strzałką zaznaczono wzgórze.
zdj. 20
Głowica liniowa – projekcja przystrzałkowa. Zieloną strzałką zaznaczono oczodół, żółtą strzałką zaznaczono wzgórze.
zdj. 21
Głowica liniowa – projekcja przystrzałkowa. F – płat czołowy, P – płat ciemieniowy, O – płat potyliczny. Bruzda boczne (niebieska strzałka), płat skroniowy (zielona strzałka).
Badanie przez ciemiączko sutkowe

Obrazowanie przez ciemiączko sutkowe pozwala ocenić blaszki móżdżku, zbiornik wielki i komorę czwartą pod kątem prawidłowego wyglądu i wymiarów (6). Widoczne są również niektóre struktury nadnamiotowe, w tym tylna część układu komorowego, niekiedy komora trzecia, a także wzgórze, konary mózgu i zbiorniki podstawy mózgu (2). U wcześniaków przez to okno możemy dobrze uwidocznić również przeciwległą półkulę móżdżku (3).

zdj. 22
Głowica liniowa – badanie przez ciemiączko tylno-boczne. Półkula móżdżku (żółta strzałka), komora czwarta (czerwona strzałka).
Badanie dopplerowskie

Badanie metodą Dopplera kolorowegopulsacyjnego umożliwia ocenę drożności naczyń wewnątrzczaszkowych oraz zmian hemodynamicznych mózgu noworodka (1, 2). Współczesne aparaty umożliwiają wizualizację przepływów rzędu 2 cm/s, co pozwala na uwidocznienie drobnych naczyń, takich jak naczynia pnia mózgu, żyły podwyściółkowe uchodzące do żył wzgórzowo-prążkowiowych oraz tętnice perforujące (3).

Obrazy koła Willisa w opcji Color Doppler uzyskujemy rutynowo w projekcji czołowej przez ciemiączko przednie lub w projekcji osiowej przez okno skroniowe. Wybór dostępu zależy od naczynia, które chcemy ocenić, lub od wygody badającego. Do rutynowego badania przesiewowego ciemiączko przednie jest zwykle wystarczające, natomiast do szczegółowej oceny koła Willisa lepszy jest dostęp przezskroniowy (6).

Prawidłowa anatomia w USG
Zasady oceny echogeniczności

Prawidłowa interpretacja badania USG mózgowia opiera się na kilku fundamentalnych zasadach. Przede wszystkim struktury istoty szarej (np. kora mózgu, jądra podstawy) są stosunkowo hipoechogeniczne i wykazują zbliżoną echogeniczność niezależnie od lokalizacji, natomiast struktury istoty białej wykazują wyższą echogeniczność (5, 6). Odwrócenie tego wzorca wskazuje na nieprawidłowości (5). Po drugie – prawidłowy mózg jest zawsze symetryczny, chociaż symetria nie wyklucza nieprawidłowości. Zasada ta pomaga uniknąć przeoczenia symetrycznych nieprawidłowości, takich jak obustronne podwyższenie echogeniczności wzgórz (5).

Ciało modzelowate i struktury pośrodkowe

Ciało modzelowate jest dobrze widoczne w projekcji strzałkowej w linii pośrodkowej (2). Od góry bruzdę tę ogranicza zakręt obręczy (2). W projekcji czołowej kolano ciała modzelowatego widoczne jest do przodu i powyżej rogów czołowych komór bocznych (2).

Przy wykorzystaniu opcji dopplerowskich w projekcji strzałkowej pośrodkowej widoczna jest tętnica przednia mózgu (anterior cerebral artery, ACA), przebiegająca nad ciałem modzelowatym i równolegle do niego. W przypadku agenezji ciała modzelowatego tętnica przednia mózgu podnosi się ku górze i do przodu od miejsca, gdzie spodziewalibyśmy się kolana ciała modzelowatego (2).

Komora trzecia widoczna jest poniżej ciała modzelowatego i przegrody przezroczystej jako cienka bezechowa struktura pośrodkowa między wzgórzami (2, 6). Musimy pamiętać, że u noworodków zmiany w obrębie jąder podstawy mogą być symetryczne, dlatego kluczowa jest dokładna analiza echogeniczności istoty szarej względem istoty białej. Dotyczy to szczególnie wzgórz – prawidłowo ich echogeniczność jest zbliżona do sąsiadujących jąder podstawy. Jeżeli wzgórze wykazuje echogeniczność zbliżoną do sąsiadującej istoty białej, może to wskazywać na obrzęk, niedokrwienie lub zawał wzgórza (6).

Jama przegrody przezroczystej, komora Vergi i torbiel stropu komory trzeciej

Jama przegrody przezroczystej (cavum septum pellucidum, CSP) to przestrzeń potencjalna między przegrodami przezroczystymi (2). Widoczna jest poniżej kolana ciała modzelowatego i według niektórych publikacji występuje u co najmniej 90% wcześniaków i u 60% noworodków donoszonych (2). CSP, komora Vergi (cavum vergae) i torbiel stropu komory trzeciej (cavum velum interpositum) są prawidłowymi komorami płodowymi, które zamykają się od tyłu ku przodowi począwszy od około 6. miesiąca ciąży (1, 6). Do 38.-40. tygodnia ciąży 97% komór Vergi ulega zamknięciu, natomiast CSP zamyka się u 85% niemowląt do 3.-6. miesiąca życia (2, 6). Przetrwałe komory płodowe mogą utrzymywać się do dorosłości i nie mają znaczenia klinicznego (6).

Komora Vergi stanowi przedłużenie bezechowej jamy przegrody przezroczystej ku tyłowi od sklepień, ograniczone od tyłu przez płat ciała modzelowatego i od góry przez trzon ciała modzelowatego (2). Ze względu na kierunek zamykania komora Vergi lub torbiel stropu komory trzeciej rzadko występują bez CSP (2, 6). Torbiel stropu komory trzeciej stanowi dalsze przedłużenie CSP i znajduje się między włóknami sklepienia, powyżej stropu komory trzeciej (2). Musimy pamiętać, że w okolicy szyszynki może być mylona z innymi strukturami torbielowatymi, takimi jak torbiel szyszynki lub malformacja żyły Galena (6).

Jeśli chcesz dowiedzieć się więcej o różnicowaniu zmian płynowych w mózgowiu noworodka, przeczytaj nasz artykuł w Medycynie Praktycznej – Pediatria:

„Zmiana płynowa w mózgowiu noworodka”.

Komory boczne

Układ komorowy mózgowia składa się z dwóch komór bocznych, komory trzeciej i komory czwartej. Każda komora boczna składa się z rogu czołowego, trzonu, przedsionka oraz rogu potylicznego i skroniowego (2). Komory boczne łączą się z komorą trzecią przez otwory Monro. Komora trzecia jest szczelinowatą strukturą położoną w linii pośrodkowej, między wzgórzami (6). Z jej tylnego brzegu odchodzi wodociąg mózgu (wodociąg Sylwiusza), który biegnie przez śródmózgowie i łączy komorę trzecią z komorą czwartą (6).

U 20–40% noworodków stwierdza się pewien stopień asymetrii komór bocznych – rogi potyliczne są zwykle większe od czołowych, a komora lewa jest często większa od prawej (6). Łagodna asymetria jest częstym znaleziskiem u wcześniaków, z tendencją do normalizacji w pierwszym miesiącu życia, choć może utrzymywać się dłużej – nie powinna jej towarzyszyć nieprawidłowa echogeniczność ani utrata objętości istoty białej okołokomorowej.

Wariantem prawidłowym spotykanym w obrębie komór bocznych jest koarktacja rogów przednich – małe zmiany torbielowate przylegające do górno-bocznych krawędzi rogów przednich, które mogą być pojedyncze lub mnogie, jedno- lub obustronne i mają tendencję do zanikania w pierwszym roku życia. Lokalizują się w przedłużeniu kąta zewnętrznego komór bocznych.

Splot naczyniówkowy

Splot naczyniówkowy jest dobrze widoczny w projekcji przystrzałkowej wewnątrz komory bocznej jako silnie echogeniczna struktura (2). Biegnie od stropu komory trzeciej przez otwory Monro do komór bocznych, stopniowo się zwężając w kierunku bruzdy wzgórzowo-ogoniastej (6). Splotu naczyniówkowego nie znajdziemy do przodu od otworów Monro ani w świetle rogów potylicznych – echogeniczne struktury widoczne w tych lokalizacjach do czasu wykluczenia powinny być traktowane jako skrzepliny (2). U wcześniaków splot naczyniówkowy może mieć nierówny, wybrzuszony kształt.

Torbiele splotu naczyniówkowego mogą być widoczne w splocie o zwykle jednorodnej echogeniczności i występują jako izolowany wariant normy (2, 6). U zdrowego noworodka bez innych wad strukturalnych nie mają znaczenia klinicznego (2, 6). Typowo są okrągłe i mierzą <10 mm. Torbiele większe (>10 mm), mnogie i obustronne wiążą się m.in. z wyższym ryzykiem aneuploidii, zwłaszcza trisomii 18 (2, 6).

Jeśli chcesz dowiedzieć się więcej o postępowaniu w przypadku torbieli splotu naczyniówkowego u noworodka, przeczytaj nasz artykuł w Medycynie Praktycznej – Pediatria:

„Noworodek z torbielą w ośrodkowym układzie nerwowym”.

Macierz rozrodcza

Macierz rozrodcza (germinal matrix) to obszar proliferacji neuronalnej i glejowej, który pojawia się w 7. tygodniu ciąży w warstwie podwyściółkowej komór mózgowych (2). Komórki macierzy migrują w kierunku obwodowym w okresie płodowego rozwoju mózgu (2). We wczesnym okresie ciąży macierz wyściela cały układ komorowy, osiągając największe rozmiary w 23. tygodniu ciąży. Następnie zaczyna zanikać – najpierw w okolicy komory trzeciej, potem w rogach skroniowych i potylicznych komór bocznych. Między 28. a 32. tygodniem ciąży pozostaje już tylko jako ogniskowy obszar w bruździe wzgórzowo-ogoniastej, a między 35. a 36. tygodniem zanika całkowicie (2, 6).

Ważna jest ocena macierzy rozrodczej w bruździe wzgórzowo-ogoniastej, znajdującej się na styku głowy jądra ogoniastego i wzgórza – jest to najczęstsza lokalizacja krwawień z macierzy rozrodczej u wcześniaków (2, 6). Macierz rozrodcza jest łatwo uszkadzana przez niedotlenienie i podatna na krwawienie przy reperfuzji (6). Krwawienie z macierzy rozrodczej po 34. tygodniu ciąży jest rzadkością, gdyż prawidłowa macierz ulega zanikowi przed tym okresem (6).

Strefy rozrodcze obecne są również w zewnętrznej warstwie komórek ziarnistych półkul móżdżku i w warstwie podwyściółkowej komory czwartej – mogą one krwawić u wcześniaków, szczególnie u noworodków z masą urodzeniową poniżej 750 g (2).

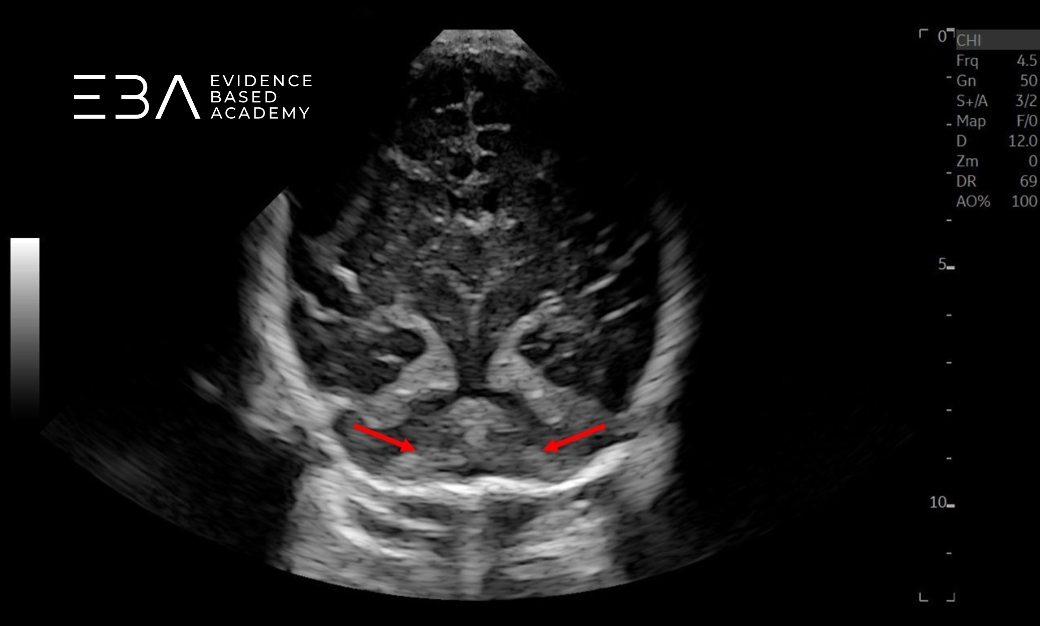
Móżdżek

Półkule móżdżku widoczne są jako symetryczne, owalne struktury z linijnymi hiperechogenicznymi pasmami odpowiadającymi blaszkom móżdżku (2). Robak móżdżku widoczny jest jako echogeniczna struktura w linii pośrodkowej, między półkulami móżdżku i do tyłu od komory czwartej (2). Zbiornik wielki (cisterna magna) widoczny jest jako struktura bezechowa do tyłu od robaka i półkul móżdżku (2). Prawidłowy zbiornik wielki mierzy 3–8 mm w projekcji strzałkowej (6).

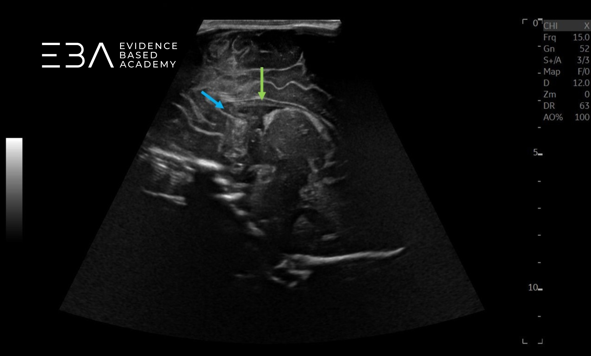
zdj. 23
Głowica liniowa. Niebieską strzałką zaznaczono śródmózgowie, żółtymi strzałkami zaznaczono półkule móżdżku.
Przestrzenie przymózgowe

Ocena przestrzeni przymózgowej stanowi istotny element badania USG mózgowia i wymaga zastosowania głowicy liniowej o wysokiej częstotliwości (14–18 MHz). Głowicą liniową oceniamy opony mózgu, przestrzeń podpajęczynówkową i podtwardówkową oraz powierzchnię kory mózgowej – zarówno w linii pośrodkowej (szczelina międzypółkulowa), jak i przystrzałkowo nad wypukłościami półkul. Prawidłowa przestrzeń przymózgowa jest wąska i symetryczna, a w jej obrębie widoczne są hiperechogeniczne żyły korowe biegnące przez przestrzeń podpajęczynówkową.

zdj. 24
Głowica liniowa. Zatoka strzałkowa górna (czerwona strzałka), przestrzeń podpajęczynówkowa (żółta strzałka), szczelina podłużna mózgu (niebieska strzałka).
zdj. a
Głowica liniowa. Pomiar szerokości przestrzeni przymózgowej podpajęczynówkowej na sklepistości czaszki.
zdj. b
Głowica liniowa. Widoczny przepływ przez zatokę strzałkową górną.

Prawidłowa głębokość przestrzeni podpajęczynówkowej u noworodków donoszonych wynosi około 1,2 mm przy urodzeniu i fizjologicznie wzrasta do 2,4–2,8 mm w 4. miesiącu życia, z tendencją do nieznacznego zmniejszania się w 8. miesiącu (10). Za prawidłową szerokość przestrzeni podpajęczynówkowej u noworodków donoszonych przyjmuje się <4 mm.

Najczęstszym wariantem prawidłowym jest łagodne poszerzenie przestrzeni podpajęczynówkowej u niemowląt (benign enlargement of the subarachnoid space, BESS) – symetryczne poszerzenie przestrzeni przymózgowej w okolicy czołowo-ciemieniowej, typowo u dzieci kierowanych na badania z powodu makrocefalii. BESS występuje częściej u chłopców, ma predyspozycję rodzinną i ustępuje samoistnie do 2. roku życia. Szerokość międzypółkulowej przestrzeni przymózgowej wynosi wówczas 5–10 mm. W BESS nie obserwujemy spłaszczenia przylegających zakrętów – przestrzeń płynowa podąża za konturem zakrętów, a przylegająca kora mózgu nie wykazuje nieprawidłowości.

Kluczowym kryterium różnicującym BESS od poszerzenia przestrzeni podtwardówkowej jest obecność żył korowych widocznych jako hiperechogeniczne struktury linijne w przestrzeni podpajęczynówkowej – w poszerzeniu przestrzeni podtwardówkowej naczynia te nie są widoczne w przestrzeni przymózgowej. W razie wątpliwości opcja Color Doppler pozwala na potwierdzenie obecności żył korowych w przestrzeni podpajęczynówkowej.

Jeśli chcesz dowiedzieć się więcej o diagnostyce nadmiernego przyrostu obwodu głowy i łagodnym poszerzeniu przestrzeni podpajęczynówkowej u niemowląt, przeczytaj nasz artykuł w Medycynie Praktycznej – Pediatria:

„Niemowlę z nadmiernym przyrostem obwodu głowy”.

Pomiary
Ocena wielkości komór

Komory boczne możemy oceniać pod względem wielkości na poziomie rogów czołowych, trzonów, przedsionków i rogów potylicznych (2). Przedsionki komór bocznych uznajemy za prawidłowe, jeżeli ich wymiar poprzeczny wynosi <10 mm; łagodną wentrikulomegalię rozpoznajemy przy wymiarze 10-12 mm (6).

W praktyce klinicznej do monitorowania wielkości komór mózgowych stosujemy trzy pomiary (3): wskaźnik komorowy (ventricular index, VI), szerokość rogu przedniego (anterior horn width, AHW) oraz wymiar wzgórzowo-potyliczny (thalamo-occipital distance, TOD).

Wskaźnik komorowy (VI) to odległość między echem sierpu mózgu a boczną ścianą komory bocznej, mierzona w projekcji czołowej na poziomie otworu Monro. Trzon komory bocznej wybrano jako punkt referencyjny, ponieważ jest łatwo dostępny, symetryczny i posiada wyraźny punkt pomiaru, a zmiany jego wielkości odzwierciedlają zmiany w obrębie całego układu komór bocznych. Należy pamiętać, że bezwzględne wymiary komór zwiększają się fizjologicznie w pierwszych miesiącach życia, odzwierciedlając wzrost czaszki, a nie rzeczywiste poszerzenie komór (10). Dlatego pomiary komór należy odnieść do siatek centylowych uwzględniających wiek.

Szerokość rogu przedniego (AHW) w warunkach prawidłowych u noworodka wynosi <3 mm. Poszerzenie łagodne odpowiada wartościom 3-5 mm, umiarkowane 6-9 mm, a znaczne — powyżej 10 mm(9). Wymiar wzgórzowo-potyliczny (TOD) pozwala na ocenę tylnej części komory bocznej – poszerzenie rozpoznajemy przy wartości >24 mm (w tym samym badaniu 97. percentyl TOD wynosił około 19 mm u wcześniaków i 21 mm u noworodków donoszonych) (9). Pomiar TOD, mimo trudności technicznych, ma szczególną wartość kliniczną, ponieważ róg potyliczny może wykazywać najwcześniejszy i najszybszy wzrost w przebiegu pokrwotocznego poszerzenia komór (9).

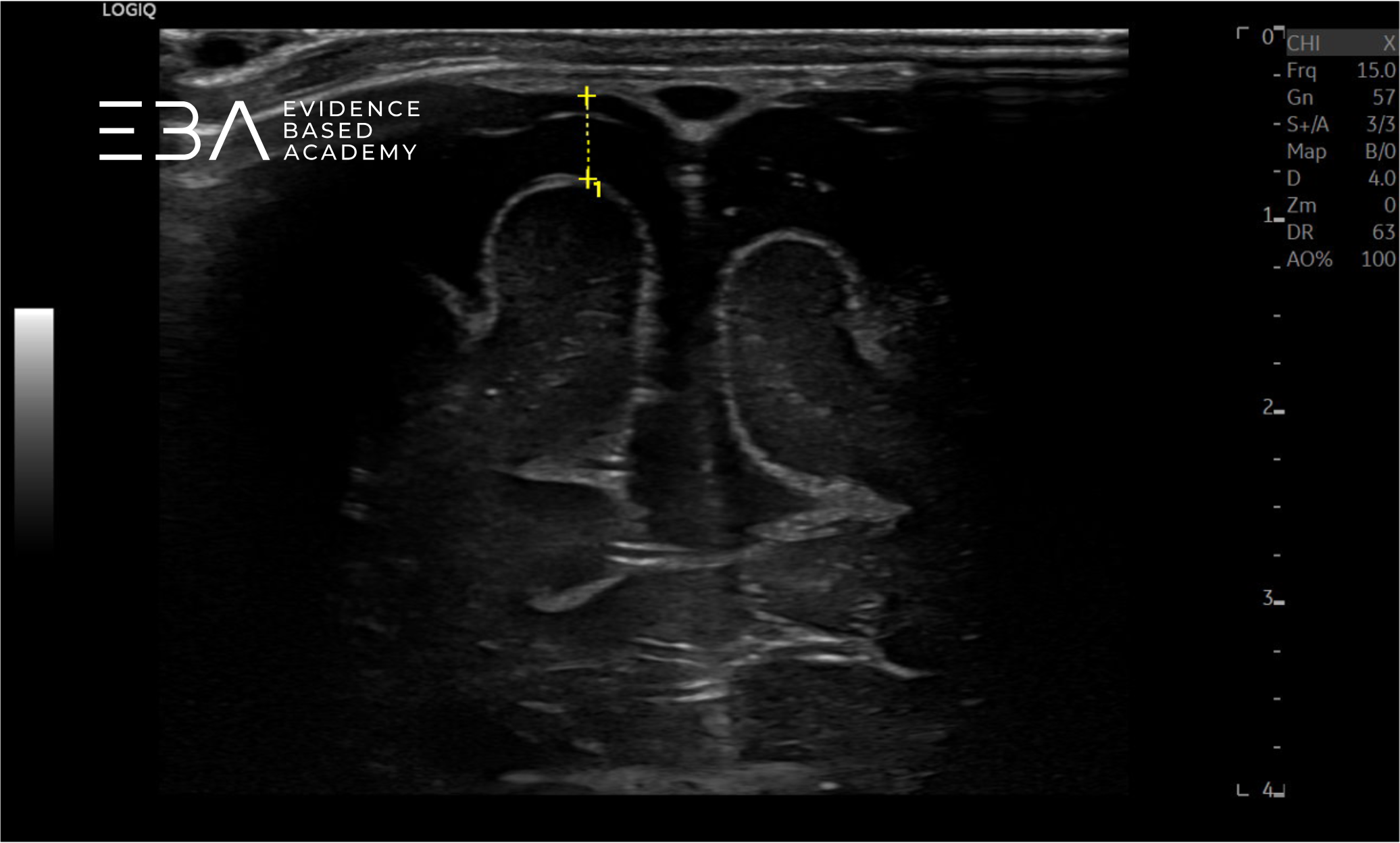
zdj. c
Głowica liniowa. Czerwoną strzałką zaznaczono pomiar rozpiętości rogów czołowych komór bocznych, żółtą strzałką zaznaczono wskaźnik komorowy.
zdj. d
Głowica liniowa. Strzałkami zaznaczono pomiar szerokości rogów przednich.
zdj. e
Głowica liniowa. Czerwoną strzałką zaznaczono pomiar rozpiętości rogów czołowych komór bocznych, żółtymi strzałkami zaznaczono pomiar szerokości rogów przednich.
Wskaźnik oporu

Wskaźnik oporu (resistive index, RI) definiowany jest wzorem: RI = (PSV – EDV) / PSV, gdzie PSV oznacza szczytową prędkość skurczową, a EDV – prędkość końcoworozkurczową (3, 5, 6). Wskaźnik RI jest niezależny od kąta padania wiązki ultradźwiękowej, w przeciwieństwie do wartości bezwzględnych prędkości (3).

Na wartość RI wpływa wiele czynników, w tym prędkość przepływu, objętość krwi, obecność wrodzonych wad serca i opór naczyniowy obwodowy (5). Prawidłowy RI stopniowo obniża się z wiekiem (6). Prawidłowe wartości RI w zależności od wieku to (6):

  • wcześniak: RI = 0,77
  • noworodek donoszony: RI = 0,65-0,75

RI mierzymy zazwyczaj w tętnicy przedniej mózgu (anterior cerebral artery, ACA), poniżej kolana ciała modzelowatego, w projekcji strzałkowej pośrodkowej (3).

Wartości RI mają znaczenie kliniczne jako wskaźnik zaburzeń hemodynamicznych. RI >0,85 sugeruje niski przepływ rozkurczowy (np. w przebiegu obrzęku mózgu lub podwyższonego ciśnienia wewnątrzczaszkowego), natomiast RI <0,55 – wysoki przepływ rozkurczowy (np. w reperfuzji po niedotlenieniu) (8).

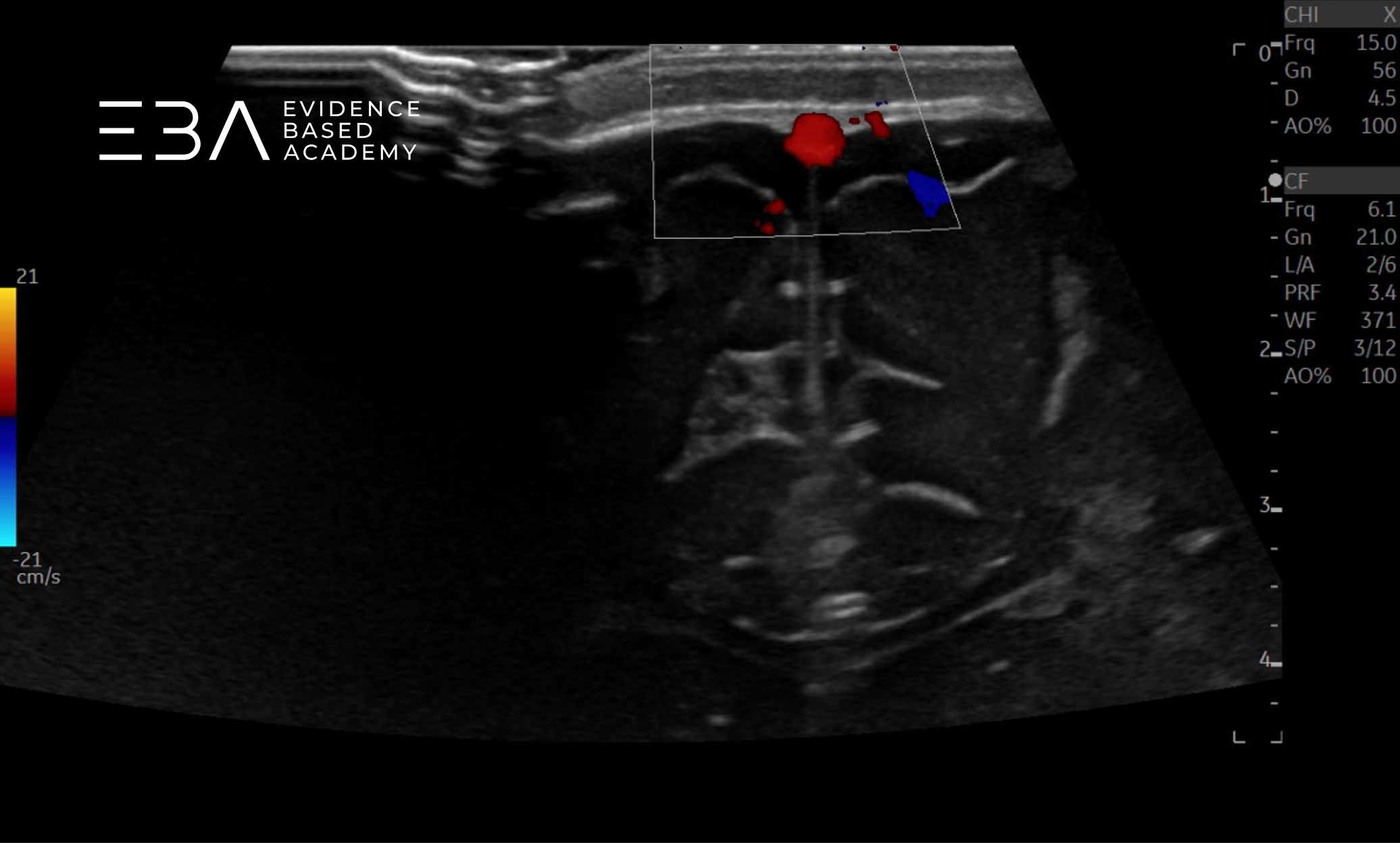
zdj. f
Przepływ krwi w tętnicy przedniej mózgu.
Pomiar wskaźnika oporu w tętnicy przedniej mózgu.
Piśmiennictwo
  1. Llorens-Salvador R, Moreno-Flores A. The ABCs of transfontanellar ultrasound and more. Radiologia. 2016 May;58 Suppl 2:129-41. doi: 10.1016/j.rx.2016.02.007. PMID: 27066919.
  2. Maller VV, Cohen HL. Neonatal Head Ultrasound: A Review and Update-Part 1: Techniques and Evaluation of the Premature Neonate. Ultrasound Q. 2019 Sep;35(3):202-211. doi: 10.1097/RUQ.0000000000000439. PMID: 30855418.
  3. Ecury-Goossen GM, Camfferman FA, Leijser LM, Govaert P, Dudink J. State of the art cranial ultrasound imaging in neonates. J Vis Exp. 2015 Feb 2;(96):e52238. doi: 10.3791/52238. PMID: 25742241.
  4. Luciano R, Bersani I, Mancini G, Vento G, Mercuri E. Cranial ultrasound evaluation in term neonates. Early Hum Dev. 2020 Apr;143:104983. doi: 10.1016/j.earlhumdev.2020.104983. PMID: 32113074.
  5. Lowe LH, Bailey Z. State-of-the-art cranial sonography: Part 1, modern techniques and image interpretation. AJR Am J Roentgenol. 2011 May;196(5):1028-33. doi: 10.2214/AJR.10.6160. PMID: 21512067.
  6. North K, Lowe LH. Modern head ultrasound: normal anatomy, variants, and pitfalls that may simulate disease. Ultrasound Clin. 2009;4:497-512. doi: 10.1016/j.ulc.2009.07.002.
  7. Vitale V, Rossi E, Di Serafino M, et al. Pediatric encephalic ultrasonography: the essentials. J Ultrasound. 2020 Jun;23(2):127-137. doi: 10.1007/s40477-018-0349-7. PMID: 30552663.
  8. Dudink J, Steggerda SJ, Horsch S. State of the art cranial ultrasound imaging in neonates. J Perinatol. 2020 Oct;40(10):1431-1444. doi: 10.1038/s41372-020-0776-y. PMID: 32782352.
  9. Brouwer MJ, de Vries LS, Groenendaal F, Koopman C, Pistorius LR, Mulder EJH, Benders MJNL. New reference values for the neonatal cerebral ventricles. Radiology. 2012 Mar;262(1):224-33. doi: 10.1148/radiol.11110334. PMID: 22084209.
  10. Gravendeel J, Rosendahl K. Cerebral biometry at birth and at 4 and 8 months of age. A prospective study using US. Pediatr Radiol. 2010 Oct;40(10):1651-6. doi: 10.1007/s00247-010-1660-x. PMID: 20432011.

Autorzy
Picture of Dr n. med. Jakub Wiśniewski

Dr n. med. Jakub Wiśniewski

Jestem absolwentem Wydziału Lekarskiego i Studiów Doktoranckich Gdańskiego Uniwersytetu Medycznego. W 2015 roku uzyskałem tytułu specjalisty z dziedziny pediatrii, a w 2016 roku stopień doktora nauk medycznych...

Picture of Lek. Andrzej Pomiećko

Lek. Andrzej Pomiećko

Jestem absolwentem Wydziału Lekarskiego Gdańskiego Uniwersytetu Medycznego. W 2022 ukończyłem szkolenie specjalizacyjne w dziedzinie pediatrii w Klinice Pediatrii, Hematologii i Onkologii Uniwersyteckiego Centrum Klinicznego w Gdańsku...

Przeczytaj więcej
Technika badania i anatomia ultrasonograficzna ślinianek​
| data publikacji: 19 listopada 2025 roku | autor: dr n. med. Jakub Wiśniewski, lek. Andrzej Pomiećko |
Czytaj dalej
error: Treść podlega prawom autorskim.